परिचय
ग्लिओमा (Glioma) क्या है?
ग्लिओमा एक तरह का ट्यूमर होता है। जो ब्रेन और स्पाइनल कॉर्ड में पाया जाता है। ग्लूई सपोर्टिव सेल्स, जो नर्व सेल्स को घेरे रहती है और उनकी क्रियाविधि में मदद करती है। उसमें ही ग्लिओमा हो जाता है। ग्लिआल सेल्स तीन प्रकार की होती हैं जो ट्यूमर को बनाती है। जिसके आधार पर ग्लिओमा के प्रकार निम्न हैं :
- एस्ट्रॉसाइटोमास (Astrocytomas)
- एपेंडाइमॉमस (Ependymomas)
- ऑलिगोडेंड्रॉग्लिओमास (Oligodendrogliomas)
ग्लिओमा जानलेवा साबित हो सकता है और कभी-कभी तो ये मस्तिष्क के क्रियाविधि को भी प्रभावित करता है। ग्लिओमा सबसे सामान्य प्रकार का ब्रेन ट्यूमर (Brain tumor) है।
और पढ़ें : Brain tumor: ब्रेन ट्यूमर क्या है?
कितना सामान्य है ग्लिओमा (Glioma) होना?
ग्लिओमा होना कितना सामान्य है, इसकी जानकारी के लिए अपने डॉक्टर से संपर्क करें।
और पढ़ें : घर-परिवार में किसी को है ब्रेस्ट कैंसर? तो ऐसे ख्याल रखें
लक्षण
ग्लिओमा के क्या लक्षण हैं? (Symptoms of Glioma)
ग्लिओमा के सामान्य लक्षण निम्न हैं :
- सिरदर्द (Headache)
- याद्दाश्त (Memory) का चले जाना
- शारीरिक कमजोरी (Weakness)
- मांसपेशियों पर नियंत्रण न होना
- दृष्टि दोष (Vision problem) होना
- स्पष्ट बोलने में समस्या
- पर्सनैलिटी में बदलाव होना
ग्लिओमा के कारण दिमाग (Brain) को जो हिस्सा प्रभावित होता है, उन पर ये सभी लक्षण निर्भर करते हैं। इन लक्षणों के अलावा ग्लिओमा (Glioma) का सबसे खराब रूप वो होता है जब ब्रेन सेल्स नष्ट होने लगती है। मस्तिष्क पर दबाव बनाने लगता है और मस्तिष्क (Brain) में सूजन (Swelling) आ जाती है। इसके अलावा ग्लिओमा के ज्यादा लक्षणों की जानकारी के लिए अपने डॉक्टर से बात करें।
मुझे डॉक्टर को कब दिखाना चाहिए?
अगर आप में ऊपर बताए गए लक्षण सामने आ रहे हैं तो डॉक्टर को दिखाएं। साथ ही ग्लिओमा से संबंधित किसी भी तरह के सवाल या दुविधा को डॉक्टर से जरूर पूछ लें। क्योंकि हर किसी का शरीर ग्लिओमा के लिए अलग-अलग रिएक्ट करता है।
और पढ़ें : रेड मीट बन सकता है ब्रेस्ट कैंसर का कारण, इन बातों का रखें ख्याल
कारण
ग्लिओमा होने के कारण क्या हैं? (Cause of Glioma)
ग्लिओमा प्राथमिक ब्रेन ट्यूमर (Brain tumor) जैसा है। ग्लिओमा किन कारणों से होता है, इसकी स्पष्ट जानकारी नहीं है। लेकिन कुछ फैक्टर होते हैें जिससे ब्रेन ट्यूमर होता है। अधिक जानकारी के लिए डॉक्टर से मिलें।
और पढ़ें : क्या हेपेटाइटिस से होता है सिरोसिस या लिवर कैंसर?
जोखिम
कैसी स्थितियां ग्लिओमा के जोखिम को बढ़ा सकती हैं? (Risk Factor of Glioma)
- ग्लिओमा होना 60 से 80 साल के लोगों में बहुत सामान्य है। क्योंकि ग्लिओमा होने का खतरा बढ़ती उम्र के साथ ज्यादा हो जाता है। लेकिन ब्रेन ट्यूमर किसी भी उम्र के लोगों को हो सकता है।
- रेडिएशन (Radiation) के संपर्क में आने वाले लोगों में ग्लिओमा (Glioma) होने का खतरा काफी बढ़ जाता है।
- यूं तो ग्लिओमा आनुवंशिक बीमारी (Genetic disease) नहीं है, लेकिन फिर भी कुछ मामलों में ये परिवार के लोगों में होने के कारण बच्चों में हो सकता है।
और पढ़ें : Breast Cancer Genetic Testing : ब्रेस्ट कैंसर जेनेटिक टेस्टिंग क्या है?
उपचार
यहां प्रदान की गई जानकारी को किसी भी मेडिकल सलाह के रूप ना समझें। अधिक जानकारी के लिए हमेशा अपने डॉक्टर से परामर्श करें।
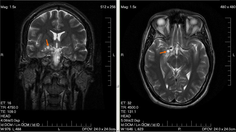
ग्लिओमा का निदान कैसे किया जाता है? (Diagnosis of Glioma)
- ग्लिओमा का पता लगाने के लिए डॉक्टर पहले फिजिकल जांच करते हैं। जिससे ब्रेन में ट्यूमर की पुष्टि होती है।
- सीटी स्कैन (CT Scan) या एमआरआई (MRI) से भी ट्यूमर की जांच होती है।
- न्यूरोलॉजिकल टेस्ट (Neurological test) के जरिए भी ग्लिओमा की जांच होती है। जिसमें डॉक्टर आपके देखने, सुनने, निंयत्रण, समन्वय आदि चीजों की जांच करते हैं। जिससे ये पता चल सके कि ग्लिओमा (Glioma) ने ब्रेन के किस भाग को प्रभावित किया है।
- इन सभी टेस्ट के अलावा पॉजिट्रॉन इमीशन टेस्ट (PET) होता है। जिसके जरिए शरीर के अन्य अंगों के कैंसर के बारे में पता लगाया जा सके। क्योंकि कभी-कभी ग्लिओमा मस्तिष्क के अलावा शरीर के अन्य हिस्सों को भी प्रभावित कर देता है।
- ब्रेन ट्यूमर की जांच बायोप्सी के द्वारा भी किया जाता है। लेकिन, ये ब्रेन बायोप्सी ग्लिओमा के प्रकार पर निर्भर करता है।
- ब्रेन ट्यूमर के चार स्टेजेस होते हैं। जिसमें पहली स्टेज को शुरुआती दौर का कैंसर कहा जा सकता है। वहीं, चौथे स्टेज के कैंसर का इलाज कर बहुत मुश्किल होता है।
ग्लिओमा का इलाज कैसे होता है? (Treatment for Glioma)
ग्लिओमा का इलाज उसके प्रकार और स्थिति पर निर्भर करता है। जिसमें उम्र और स्वास्थ्य स्थिति भी मायने रखती है। ग्लिओमा का इलाज निम्न प्रकार से किया जाता है :
- सर्जरी
- किमोथेरिपी (Chemotherapy)
- रेडिएशन थेरिपी (Radiation therapy)
- इलेक्ट्रिक फील्ड थेरिपी
- सर्जरी का उद्देश्य ट्यूमर को निकालने के लिए किया जाता है। ताकि मरीज शारीरिक और मानसिक रूप से सभी क्रियाओं को नियंत्रित रख सके।
- रेडिएशन थेरिपी में एक्स-रेज का इस्तेमाल कर के कैंसर सेल (Cancer cells) को मारा जाता है।
- कीमोथेरिपी (Chemotherapy) में दवाओं के द्वारा कैंसर सेल की वृद्धि को रोका जाता है। जिसके लिए दवाओं को इंजेक्शन (Injection) या मुंह के द्वारा दिया जाता है।
- इलेक्ट्रिक फील्ड थेरिपी के जरिए ट्यूमर की कोशिकाओं को निशाना बना कर उन पर चोट की जाती है और उन्हें नष्ट किया जाता है। इलेक्ट्रिक फील्ड थेरिपी किमोथेरिपी, सर्जरी और रेडिएशन थेरिपी के फेल होने के बाद किया जाता है।
- सपोर्टिव थेरिपी से न्यूरोलॉजिकल फंक्शन क ठीक किया जाता है। इसके साथ ही कॉर्टिकोस्टेरॉइड से सूजन आदि को कम किया जाता है।
और पढ़ें : Vulvar cancer: वल्वर कैंसर रेयर है, लेकिन इलाज भी संभव है!
एस्ट्रॉसाइटोमास (Astrocytomas) के लिए इलाज
एस्ट्रॉसाइटोमास दो तरह के होते हैं, पहला लो ग्रेड और दूसरा हाई ग्रेड। लो ग्रेड एस्ट्रॉसाइटोमास में ट्यूमर ब्रेन के अंदर टिश्यू में पनपता है। जिसकी सर्जरी करनी कठिन होती है। इसलिए इसे ठीक करने के लिए किमोथेरिपी का सहारा लेना पड़ता है।
हाई ग्रेड एस्ट्रॉसाइटोमास को चौथे ग्रेड का ट्यूमर भी कह सकते हैं। जिसके इलाज के लिए किमोथेरिपी के साथ रेडिएशन थेरिपी भी दी जाती है। अगर ट्यूमर दोबारा हो जाता है तो किमोथेरिपी दोबारा की जाती है।
एपेंडाइमॉमस (Ependymomas) के लिए इलाज
एपेंडाइमॉमस और एनाप्लास्टिक एपेंडाइमॉमस ब्रेन के नॉर्मल टिश्यू में नहीं होता है। इसलिए ये सर्जरी के द्वारा ठीक कर के निकाल दिया जाता है। इसके अलावा रेडिएशन थेरिपी के द्वारा भी इसका इलाज किया जाता है।
ऑलिगोडेंड्रॉग्लिओमास (Oligodendrogliomas) के लिए इलाज
ऑलिगोडेंड्रॉग्लिओमास का इलाज मरीज की स्थिति पर निर्भर करता है। जिसमें रेडिएशन के साथ किमोथेरिपी का प्रयोग किया जाता है। जिससे ट्यूमर सिकुड़ जाता है। इसके बाद सर्जरी की जाती है।
घरेलू उपाय
जीवनशैली में होने वाले बदलाव क्या हैं, जो मुझे ग्लिओमा (Glioma) को ठीक करने में मदद कर सकते हैं?
- ग्लिओमा के बारे में जितना अधिक जानेंगे, उतने ही आसानी से ट्यूमर से लड़ पाएंगे। साथ ही किस तरह से इलाज कराना है इसका निर्णय आप खुद लें।
- परिवार और दोस्तों के साथ बात करें। क्योंकि ब्रेन ट्यूमर (Brain Tumor) का नाम सुनते ही लोग खुद को समाज से काट लेते हैं। जिसके कारण वे अवसाद (Depression) में चले जाते हैं। ऐसे में परिजन और दोस्त ही है जो उन्हें इससे बाहर निकाल सकते हैं।
- इस संबंध में आप अपने डॉक्टर से संपर्क करें। क्योंकि आपके स्वास्थ्य की स्थिति देख कर ही डॉक्टर आपको उपचार बता सकते हैं।
हैलो स्वास्थ्य किसी भी तरह की मेडिकल सलाह नहीं दे रहा है। अगर आपको किसी भी तरह की समस्या हो तो आप अपने डॉक्टर से जरूर पूछ लें।

















