परिचय
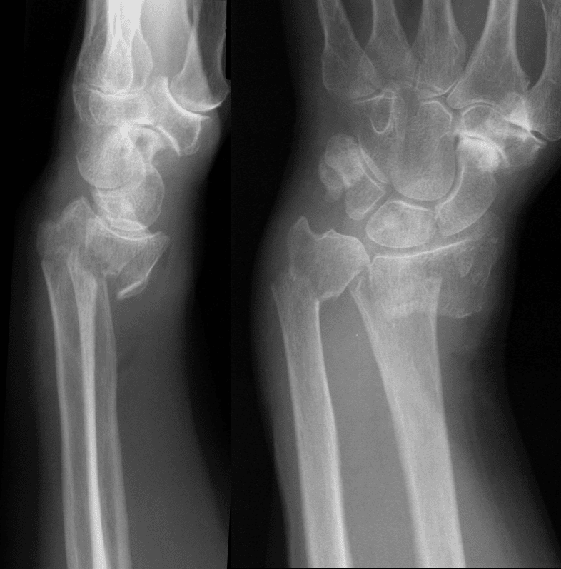
स्मिथ फ्रैक्चर को रिवर्स कॉल फ्रैक्चर या गोयरंड स्मिथ फ्रैक्चर भी कहा जाता है। इस फ्रैक्चर में डिस्टल फोरआर्म शामिल है। रेडियस बाजू की दो हड्डियों में सबसे बड़ा है। इस फ्रैक्चर का नाम डबलिन, आयरलैंड के एक सर्जन रोबर्ट विलियम स्मिथ के नाम पर पड़ा है। स्मिथ फ्रैक्चर भी, पाल्मर एंज्यूलेशन के साथ संबंधित है। इसका मतलब है कि इसमें हड्डी का टूटा हुआ टुकड़ा हथेली की दिशा में विस्थापित होता है।
स्मिथ’स फ्रैक्चर के प्रकार (Types of Smith’s Fracture)

टाइप I:
डिस्टल रेडियस के माध्यम से एक्स्ट्रा-आर्टिकुलर ट्रांस्वर्स फ्रैक्चर
सबसे सामान्य :~ 85%.
टाइप II:
इंट्रा -आर्टिकुलर ऑब्लिक फ्रैक्चर .
एक रिवर्स बार्टन फ्रैक्चर के बराबर।
सबसे सामान्य : ~13%.
टाइप III:
जुस्टा-आर्टिकुलर ऑब्लिक फ्रैक्चर
असामान्य: <2%.
स्मिथ फ्रैक्चर रेडियस और अल्ना और एक बाईमोडल डिस्ट्रीब्यूशन के सभी फ्रैक्चर के 3% से कम के लिए उत्तरदायी हैं : युवा पुरुष (सबसे आम) और बुजुर्ग महिलाएं।
और पढ़ें :मुझे अक्सर मांसपेशियों में ऐंठन रहती है, इसका क्या उपाय है?
लक्षण
- स्मिथ’स फ्रैक्चर का सबसे सामान्य लक्षण है कलाई में अचानक हुआ दर्द।
- दर्द के साथ प्रभावित स्थान पर नरमी हो सकती है। यही नहीं, इससे आपको अपनी कलाई को हिलाने में भी मुश्किल हो सकती है।
- कलाई हाथ से विकृत दिखाई दे सकती है और नीचे की ओर झुक सकती है।
- तत्काल सूजन होगी और नीला पड़ सकता है।
कारण
- आमतौर पर, स्मिथ’स फ्रैक्चर दो कारणों से हो सकता है। एक कारण है जब कोई अपनी कलाई पर गिरे जब यह झुकी हुई हो। दूसरा कारण है कलाई के पीछे प्रत्यक्ष प्रहार।
- ऑस्टियोपोरोसिस (Osteoporosis) एक विकार है जिसमे हड्डियों के टूटने की संभावना अधिक रहती है। इसमें जरा सा गिरने से भी फ्रैक्चर हो सकता है। हालांकि, स्वस्थ हड्डियों में भी स्मिथ फ्रैक्चर हो सकते हैं, विशेष रूप से दुर्घटना वाली घटनाओं जैसे कार दुर्घटना या बाइक से गिरना।
जोखिम
डिस्टल रेडियस फ्रैक्चर या स्मिथ फ्रैक्चर ऑस्टियोपोरोसिस (Osteoporosis) से सम्बन्धित है जिसमे हड्डियां बहुत कमजोर हो जाती हैं। इन स्थितियों में यह जोखिम भरा हो सकता है।
- बढ़ती उम्र : उम्र के बढ़ने पर हड्डियां कमजोर हो जाती है ऐसे में हड्डियों के टूटने और फ्रैक्चर की संभावना अधिक होती है।
- महिलाओं में : स्मिथ’स फ्रैक्चर का खतरा पुरुषों की तुलना में महिलाओं को अधिक होता है क्योंकि महिलाओं की हड्डियां कमजोर होती हैं।
- रजोनिवृत्ति :महिलाओं में अगर पहले ही रजोनिवृत्ति हो जाती है तो उनमे में यह समस्या होने की संभावना अधिक होती है।
- अधिक स्मोकिंग या अल्कोहल: जो लोग अधिक धूम्रपान या अल्कोहल का सेवन करते हैं उन्हें स्मिथ’स फ्रैक्चर होने का खतरा बढ़ सकता है।
- स्टेरॉयड का उपयोग : जो लोग लंबे समय तक स्टेरॉयड का उपयोग कर रहें हैं तो उन्हें भी यह समस्या अधिक हो सकती है।
और पढ़ें :क्या है हड्डियों की बीमारी ऑस्टियोपोरोसिस? जानें इसके लक्षण
उपचार
अगर आप कलाई के भार गिरे हैं, लेकिन आपको न तो अधिक दर्द है और आप की कलाई भी अच्छे से काम कर रही है, तो आप डॉक्टर के पास जाने से पहले कुछ देर यह इंतजार कर सकते हैं। ताकि, आप जान पाएं कि क्या यह फ्रैक्चर है या नहीं। इस दौरान आप वो घरेलू उपचार का इस्तेमाल कर सकते हैं जैसे स्पलिंट का प्रयोग या बर्फ का प्रयोग। इससे आपको दर्द से राहत मिलेगी।
हालांकि, अगर आप की कोहनी सुन्न है, आपकी उंगलियां पिंक हैं, या आपकी कलाई गलत एंगल में मुड़ गयी है तो आपको तुरंत डॉक्टर के पास जाने और इलाज कराने की आवश्यकता है।
नॉन-सर्जिकल (Non-surgical)
डॉक्टर सबसे पहले आपकी कोहनी और बाजू की जांच करेंगे। उसके बाद आपसे इसके कारण और लक्षणों के बारे में जाना जाएगा। इसके बाद आपके फ्रैक्चर की स्थिति जानने के लिए X-Ray की सलाह दी जाती है। X-Ray से इस बात का पता चल सकता है कि क्या आपकी हड्डी टूटी है या अन्य कोई कारण है जिससे आपको दर्द और अन्य समस्याएं हो रही हैं। यही नहीं, इससे डॉक्टर आपकी समस्या के बेहतरीन उपचार के बारे में भी जान पाएंगे।
इस फ्रैक्चर का उपचार इसकी गंभीरता पर निर्भर करता है। स्मिथ’स फ्रैक्चर में सभी टूटी हड्डियों को सही तरीके से जोड़ना होता है और इस बात को सुनश्चित करना होता है कि यह हड्डियां पूरी तरह से ठीक होने तक अपनी जगह पर रहें। इसका उपचार रोगी की उम्र, फ्रैक्चर के प्रकार और एक्टिविटी आदि पर निर्भर करता है।
स्मिथ’स फ्रैक्चर में सर्जिकल और नॉनसर्जिकल दोनों विकल्प होते हैं। आमतौर पर अगर संभव हो तो डॉक्टर नॉन-सेजिकल उपचार कि सलाह देते हैं। टूटी हुई हड्डियों को वापस जगह में ले जाने की प्रक्रिया को रिडक्शन कहा जाता है। जब यह सर्जरी के बिना किया जाता है, तो इसे एक क्लोज्ड रिडक्शन कहा जाता है।
क्लोज्ड रिडक्शन के बाद डॉक्टर संभवतः टूटी हुई कलाई को एक स्प्लिंट या कास्ट में रखेंगे। इसे स्पलिंट में रखा जाता है ताकि सूजन कम हो।
सर्जिकल उपचार (Surgical treatment)
यदि हड्डी अपनी जगह से बाहर निकल जाए तो रिडक्शन की आवश्यकता नहीं, बल्कि सर्जरी की आवश्यकता होगी। हड्डियों को अपने स्थान पर वापस लाने के लिए कास्ट, मेटल पिंस, प्लेट्स और स्क्रू का प्रयोग किया जाता है
घरेलू उपाय
- दर्द को कम करने के लिए आप दर्द निवारक दवाईओं का सेवन किया जा सकता है। लेकिन, इनका सेवन केवल डॉक्टर से पूछने के बाद ही करें।
- प्रभावित स्थान पर बर्फ का पैक लगाएं। एक कपडे में बर्फ लपेटकर ही प्रभावित स्थान पर लगाएं। सीधे तौर पर बर्फ का इस्तेमाल न करें ,क्योंकि इससे त्वचा को नुकसान हो सकता है। बर्फ लगाने से सूजन और दर्द दूर होगी।
- जैसे ही आपको इस समस्या के लक्षण दिखाई दें तुरंत डॉक्टर के पास जाएं। देरी करने से समस्या बढ़ सकती है।
- स्मिथ’स फ्रैक्चर के कई मामलों में कास्ट का प्रयोग छे हफ़्तों तक किया जा सकता है। लेकिन, इसके दौरान बाजू की मूवमेंट को कम से कम रखें। ताकि आप जल्दी से जल्दी स्वस्थ हो सकें।
- कलाई गार्ड का उपयोग करें।
- शराब, तंबाकू के सेवन से बचें।
- डॉक्टर की सलाह के बाद योग, ध्यान और व्यायाम करें।
हैलो स्वास्थ्य किसी भी तरह की कोई भी मेडिकल सलाह नहीं दे रहा है, अधिक जानकारी के लिए आप डॉक्टर से संपर्क कर सकते हैं। आप स्वास्थ्य संबंधी अधिक जानकारी के लिए हैलो स्वास्थ्य की वेबसाइट विजिट कर सकते हैं। अगर आपके मन में कोई प्रश्न है, तो हैलो स्वास्थ्य के फेसबुक पेज में आप कमेंट बॉक्स में प्रश्न पूछ सकते हैं और अन्य लोगों के साथ साझा कर सकते हैं।

















