परिचय
ट्रांसिएंट ग्लोबल एमनेशिया क्या है?
ट्रांसिएंट ग्लोबल एमनेशिया अचानक या अस्थायी रूप से याददाश्त जाने वाली समस्या है, जो मिर्गी या स्ट्रोक से संबंधित नहीं होती। ट्रांसिएंट ग्लोबल एमनेशिया के दौरान हाल ही में होने वाली चीजें जैसे आप कहा हैं, क्या कर रहे हैं जैसी बातें आसानी से भूल जाते हैं। ऐसे में आप यह भी भूल जाते हैं कि आप कहां हैं, यहां क्या हो रहा है और उस जगह पर कैसे आए।
इस समस्या में याददाश्त जाने के बाद आप बार-बार एक ही सवाल पूछते रहते हैं, क्योंकि जवाब मिलने के बाद भी आप उस जवाब को याद नहीं रख पाते। यह समस्या ज्यादातर मध्यम उम्र या अधिक उम्र वाले लोगों को प्रभावित करती है।
ये भी पढ़ें : अल्जाइमर की नई दवा विकसित, भूलने की समस्या में मिलेगी राहत
ट्रांसिएंट ग्लोबल एमनेशिया में, आपको अपने बारे में याद रहता है और जिन्हें आप अच्छी तरह से जानते हैं उनके बारे में भी आपको अच्छे से पता होता है। ट्रांसिएंट ग्लोबल एमनेशिया के एपिसोड हमेशा कुछ घंटों में धीरे-धीरे सुधरते हैं। रिकवरी के दौरान मरीज धीरे-धीरे घटनाओं और परिस्थितियों को याद करना शुरू कर सकता है। ट्रांसिएंट ग्लोबल एमनेशिया गंभीर नहीं हैं लेकिन ये फिर भी आपके और मरीज के लिए डरावना हो सकता है।
कितना सामान्य है ट्रांसिएंट ग्लोबल एमनेशिया होना?
ट्रांसिएंट ग्लोबल एमनेशिया प्रत्येक 100,000 में से लगभग 3 से 10 लोगों में होती है।
ये भी पढ़ें : वर्ल्ड अल्जाइमर डे : भूलने की बीमारी जो हंसा देती है कभी-कभी
लक्षण
ट्रांसिएंट ग्लोबल एमनेशिया के क्या लक्षण है?
ट्रांसिएंट ग्लोबल एमनेशिया को आप कुछ ख़ास लक्षणों से पहचान सकते हैं, जिसमें चीजों को याद रखने में और हाल ही में बीती हुई चीजों को याद रखने में अक्षमता पैदा होना। जब लक्षण पता चल जाते हैं, तो एमनीशिया के अन्य संभावित कारणों का पता लगाना भी आवश्यक है। ये संकेत और लक्षण ट्रांसिएंट ग्लोबल एमनेशिया भूलने की बीमारी के निदान के लिए मौजूद होने चाहिए:
- याद्दाश्त हानि के बावजूद व्यक्तिगत पहचान का याद रखना
- सामान्य अनुभूति, जैसे कि परिचित वस्तुओं को पहचानने और नाम रखने की क्षमता और सरल निर्देशों का पालन करना
- मस्तिष्क के एक विशेष क्षेत्र को नुकसान पहुंचाने वाले संकेतों की अनुपस्थिति होना, जैसे कि लिंब पैरालाइसिस, इन्वॉलन्टरी मूवमेंट या शब्दों को पहचान न पाना
अन्य लक्षण और इतिहास जो ट्रांसिएंट ग्लोबल एमनेशिया का निदान करने में मदद कर सकते हैं जैसे –
- याददाश्त का एक दिन से ज्यादा न खोना या आमतौर पर कुछ समय के लिए
- धीरे-धीरे यादाश्त वापिस आना
- अभी कोई सिर की चोट नहीं
- एमनीशिया के दौरान मिर्गी के कोई चिन्ह न दिखना
- पहले कभी मिरगी की समस्या ना होना
इन लक्षणों के साथ-साथ, ट्रांसिएंट ग्लोबल एमनेशिया में आम विशेषताएं हैं बार-बार सवाल पूछना, आमतौर पर समान सवाल पूछना जैसे, “मैं यहां क्या कर रही हूँ?’ या “मैं यहां कैसे आई?’
ये भी पढ़ें : Alzheimer : अल्जाइमर क्या है? जानें इसके कारण, लक्षण और उपाय
मुझे डॉक्टर को कब दिखाना चाहिए?
किसी के लिए भी तत्काल चिकित्सा की तलाश करें, जो वर्तमान वास्तविकता में न रहकर उस स्थिति में गुम हो जाता है। अगर व्यक्ति की यादाश्त गयी है और खुद से आपतकालीन चिकित्सा को बुलाने में असमर्थ है, तो उसके लिए आप एम्बुलेंस को बुलाएं। साथ ही, ट्रांसिएंट ग्लोबल एमनेशिया हानिकारक नहीं है, लेकिन जीवन के लिए खतरनाक बीमारियों से स्थिति को अलग करने का कोई आसान तरीका नहीं है जो अचानक स्मृति हानि का कारण बन सकता है।
कारण
ट्रांसिएंट ग्लोबल एमनेशिया होने के कारण क्या है?
ट्रांसिएंट ग्लोबल एमनेशिया का अंतर्निहित कारण अभी पता नहीं चल पाया है। ट्रांसिएंट ग्लोबल एमनेशिया की बीमारी और माइग्रेन के इतिहास के बीच एक कड़ी प्रतीत होती है, हालांकि दोनों स्थितियों में योगदान देने वाले अंतर्निहित कारक पूरी तरह से समझ में नहीं आते हैं।
एक अन्य संभावित कारण जैसे रक्त के प्रवाह (वीनस कंजेशन) में किसी प्रकार की रुकावट या अन्य असामान्यता के कारण नसों का रक्त से भरना हो सकते हैं। हालांकि इन घटनाओं के बाद ट्रांसिएंट ग्लोबल एमनेशिया होने की संभावना बहुत कम है, कुछ सामान्य रूप से रिपोर्ट की जाने वाली घटनाओं में यह ट्रिगर हो सकता है:
- ठंडे या गर्म पानी में अचानक
- कठोर शारीरिक गतिविधि
- सेक्सुअल इंटरकोर्स
- चिकित्सा प्रक्रियाएं, जैसे एंजियोग्राफी या एंडोस्कोपी
- सिर में हल्की चोट
- तीव्र भावनात्मक तनाव, जैसा कि बुरी खबर सुनना, अत्यधिक काम इच्छा आदि से भी ये समस्या हो सकती है।
ये भी पढ़ें : Deaf Anxiety: हर पल कुछ आवाजें छूट जाने का डर, जानिए क्या है ‘डेफ एंग्जाइटी’
जोखिम
ट्रांसिएंट ग्लोबल एमनेशिया के साथ मुझे क्या समस्याएं हो सकती हैं?
दिलचस्प बात यह है कि उच्च रक्तचाप और उच्च कोलेस्ट्रॉल – जो स्ट्रोक से जुड़े होते हैं – ट्रांसिएंट ग्लोबल एमनेशिया भूलने की बीमारी के लिए जोखिम कारक नहीं हैं। ये इसलिए होता है क्योंकि ट्रांसिएंट ग्लोबल एमनेशिया एजिंग रोग की रक्त वाहिकाओं को नहीं दर्शाते।
कुछ साफ जोखिम हैं –
- उम्र – जिन लोगों की उम्र 50 होती है और बूढ़े लोगों में, छोटी उम्र के लोगों के मुकाबले ट्रांसिएंट ग्लोबल एमनेशिया का जोखिम अधिक होता है।
- माइग्रेन : अगर आपको माइग्रेन रहा है, तो ट्रांसिएंट ग्लोबल एमनेशिया का जोखिम, न होने वाली माइग्रेन की समस्या से अधिक होता है।
ये भी पढ़ें : World Crosswords And Puzzles Day : जानिए किस तरह क्रॉसवर्ड पजल मेंटल हेल्थ के लिए फायदेमंद है
उपचार
यहां प्रदान की गई जानकारी को किसी भी मेडिकल सलाह के रूप ना समझें। अधिक जानकारी के लिए हमेशा अपने डॉक्टर से परामर्श करें।
ट्रांसिएंट ग्लोबल एमनेशिया का निदान कैसे किया जाता है?
ट्रांसिएंट ग्लोबल एमनेशिया का निदान अधिक-गंभीर स्थितियों को छोड़कर किया जाता है – जैसे स्ट्रोक, मिर्गी या सिर की चोट – जो यादाश्त खोने का समान प्रकार का कारण बन सकते हैं।
ये भी पढ़ें : बच्चों का पढ़ाई में मन न लगना और उनकी मेंटल हेल्थ में है कनेक्शन
मस्तिष्क और इमेजिंग टेस्ट –
अगला चरण मस्तिष्क की इलेक्ट्रिकल गतिविधि और रक्त प्रवाह की असामान्यताओं को देखने के लिए परीक्षण होगा। आपका डॉक्टर एक या इन टेस्ट का कॉम्बिनेशन टेस्ट करने के लिए बोल सकता है –
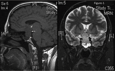
मेग्नेटिक रेसोनेंस इमेजिंग (एमआरआई) – इस तकनीक में मेग्नेटिक फील्ड और रेडियो तरंगो का इस्तेमाल किया जाता है जिसमें विस्तृत जानकारी, मस्तिष्क की क्रॉस सेक्शनल इमेज का पता चलता है। एमआरआई मशीन इन टुकड़ों वाली इमेजों को जोड़ता है और 3डी इमेजो में दिखाता है जिसे अलग-अलग एंगल से देखा जा सकता है।
कम्पूटराइड टोमोग्राफी (सीटी) – ख़ास एक्सरे उपकरणों के इस्तेमाल से, आपका डॉक्टर अलग-अलग एंगल से इमेज को दिखाएगा और उन्हें जोड़कर मस्तिष्क और स्कल की क्रॉस सेक्शनल इमेज को दर्शाएगा। सीटी स्कैन मस्तिष्क की संरचना में असामान्यताओं को दिखा सकता है, जिसमें संकुचित, अतिरंजित या टूटी हुई रक्त वाहिकाएं और पिछले स्ट्रोक शामिल हैं।
एलेक्ट्रोऐन्सीफैलोग्राम (ईईजी) – ईईजी ब्रेन से जुड़ी इलेक्ट्रोड के माध्यम से मस्तिष्क की विद्युत गतिविधि को रिकॉर्ड करता है। मिर्गी से पीड़ित लोगों के मस्तिष्क की तरंगों में अक्सर बदलाव होते हैं, यहां तक कि जब उन्हें मिर्गी की समस्या नहीं होती है। इस टेस्ट को एक से ज्यादा बार किया जा सकता है अगर ट्रांसिएंट ग्लोबल एमनेशिया की समस्या अधिक बार हो या डॉक्टर को पता चलता है कि आपको मिर्गी की समस्या है।
ट्रांसिएंट ग्लोबल एमनेशिया का इलाज कैसे होता है?
ट्रांसिएंट ग्लोबल एमनेशिया का इलाज करने की कोई आवश्यकता नहीं है। ये अपने आप ठीक होता है और इसके कोई स्थायी प्रभाव नहीं है।
ये भी पढ़ें : बढ़ती उम्र में अल्जाइमर कितना आम है, जानें इसके बारे में
घरेलू उपचार
जीवनशैली में होने वाले वदलाव क्या हैं, जो मुझे ट्रांसिएंट ग्लोबल एमनेशिया को ठीक करने में मदद कर सकते हैं?
जो कोई भी वर्तमान में होने वाली सभी घटनाओं के लिए याद्दाश्त की अचानक हानि का अनुभव करता है, उसे आपातकालीन चिकित्सा देखभाल की आवश्यकता होती है। तुरंत अपने स्थानीय आपातकालीन नंबर पर कॉल करें। यदि कोई मित्र या परिवार का सदस्य आपकी उपस्थिति में इन लक्षणों का अनुभव करता है, तो उसके साथ अस्पताल जाएं। क्योंकि वह हाल की घटनाओं को डॉक्टर को बताने में असमर्थ होगा, ऐसे में आप ही डॉक्टर को महत्वपूर्ण जानकारी प्रदान कर सकते हैं।
आपको क्या करने चाहिए –
- पूरी चिकित्सीय जांच होने तक पीड़ित व्यक्ति के साथ रहें। एकदम से याद्दाश्त जाने से गंभीर स्वास्थ्य समस्या हो सकती है। पीड़ित व्यक्ति के लिए एक अहम भूमिका बताएं जिसमें डॉक्टर के कुछ भी बताने व अगला कदम के लिए निर्णेय लेने के लिए आप समर्थ रहें।
- मेडिकल स्टाफ के साथ शारीरिक या भावनात्मक रूप से तनावपूर्ण घटनाओं को साझा करें जो याद्दाश्त जाने से पहले हुई थीं। काम पर या घर पर संघर्ष या चिंता, ज़ोरदार शारीरिक गतिविधि, या गर्म या ठंडे पानी में अचानक जाना आदि शामिल है – ऐसी कोई भी चीज जो व्यक्ति के तनाव का कारण बन सकती है।
- यादाश्त जाने के साथ में होने वाले लक्षणों को भी याद रखें जैसे सुन्न होना, कमजोरी या कपकपी।
- आप अगर किसी अन्य बीमारी की दवाओं का सेवन कर रहे हैं तो डॉक्टर से सलाह लेते समय उन्हें इन दवाओं के बारे में जरुर बताएं।
- डॉक्टर से पूछने के लिए सवालों को लिखकर रखें। पीड़ित व्यक्ति की जगह पर डॉक्टर से पूछने सवालों की एक सूची बना लें। साथ ही व्यक्ति जो ट्रांसिएंट ग्लोबल एमनेशिया को अनुभव कर है वो सोच और बोल सकता है, ये हो सकता है कि वो गंभीर रूप से तनाव ले रहे ही।
[mc4wp_form id=’183492″]
हैलो स्वास्थ्य किसी भी तरह की कोई भी मेडिकल सलाह नहीं दे रहा है, अधिक जानकारी के लिए आप डॉक्टर से संपर्क कर सकते हैं।
[embed-health-tool-bmi]

















