परिचय
प्ल्यूरल इफ्यूजन (Pleural effusion) क्या है?
पतली मेम्ब्रेन (Thin membrane) आपके फेफड़े को और चेस्ट कैविटी (Chest cavity) को ढकने का काम करती है। सामान्य तौर पर फेफड़े में मौजूद प्ल्यूरल स्पेस (Pleural space) में एक चम्मच ही पानी होता है जिससे जब आप सांस लेते हैं तो आपका फेफड़ा आसानी से मूवमेंट करता है। लेकिन जब असामान्य रूप से आपके फेफड़े के चारों तरफ ज्यादा मात्रा में पानी इकट्ठा हो जाता है तो इसे प्ल्यूरल इफ्यूजन कहते हैं। आपको बता दें कि कई सारी मेडिकल कंडीशन की वजह से यह होता है।
प्ल्यूरल इफ्यूजन दो प्रकार (Types of Pleural effusion) के होते हैं
1. ट्रांसूडेटिव प्ल्यूरल इफ्यूजन (Transudative pleural effusion): इसमें ब्लड वेसेल्स में दबाव बढने के कारण प्ल्यूरल स्पेस में फ्लूइड आ जाता है। इसके होने का सबसे आम कारण है कंजेसटिव हार्ट फेल्योर (Congestive heart failure) का होना।
2. ऐक्सूडेटिव इफ्यूजन (Exudative effusion): इसके होने के निम्नलिखित कारान हैं;
- ब्लड वेसेल या लिम्फ का ब्लाक होना
- इन्फ्लामेशन
- ट्यूमर
- फेफड़े की चोट
कितना सामान्य है फुफ्फुस बहाव (Pleural effusion)?
अमेरिकन थोरैसिक सोसाइटी के अनुसार हर साल संयुक्त राज्य अमेरिका में एक मिलियन मामलों में यह प्ल्यूरल इफ्यूजन (Pleural effusion) सामान्य है। आपको बता दें कि यह एक बहुत ही गंभीर स्थिति होती है जिसमें मृत्यु होने का खतरा भी ज्यादा होता है। एक अध्ययन के अनुसार ऐसे 15 प्रतिशत लोग जो हॉस्पिटल में हैं और जिन्हें प्ल्यूरल इफ्यूजन है उनकी 30 दिन के भीतर मृत्यु हो जाती है।
और पढ़ें : हाइपरग्लेसेमिया : जानिए इसके लक्षण, कारण, निदान और उपचार
लक्षण
प्ल्यूरल इफ्यूजन के क्या लक्षण हैं? (Symptoms of Pleural effusion)
सीने में दर्द महसूस किया जा सकता है, लेकिन कभी-कभी प्ल्यूरल इफ्यूजन होने पर दर्द (Pain) महसूस होना जरूरी भी नहीं होता है। प्ल्यूरल इफ्यूजन के कुछ सामान्य कारण:
- सूखी खांसी होना।
- बुखार (Fever) आना।
- लेटते वक्त सांस लेने में परेशानी महसूस होना।
- सीने में दर्द (Chest pain) होना।
- सांस (Breath) लेने में परेशानी महसूस होना।
- आप तरल पदार्थों को महसूस भी कर सकते हैं।
इन लक्षणों के अलावा अन्य लक्षण भी हो सकते हैं। यदि आप किसी लक्षण को लेकर परेशान हैं, तो कृपया अपने चिकित्सक से परामर्श करें।
और पढ़ें : Leprosy: कुष्ठ रोग क्या है? जानें इसके लक्षण, कारण और उपाय
डॉक्टर से कब संपर्क करना चाहिए?
अगर आपको लक्षण समझ आ रहे हैं या आप परेशानी महसूस कर रहें हैं तो आपको डॉक्टर से संपर्क करना चाहिए। हर एक व्यक्ति के शरीर की बनावट अलग होती है, इसलिए बेहतर इलाज और रिजल्ट के लिए डॉक्टर से ही संपर्क करना सही निर्णय है।
[mc4wp_form id=’183492″]
कारण
किन कारणों से होता है प्ल्यूरल इफ्यूजन? (Cause of Pleural effusion)
लंग्स में इंफेक्शन की वजह से प्ल्यूरल इफ्यूजन होता है। कुछ और भी मेडिकल कंडीशन प्ल्यूरल इफ्यूजन होने के कारण हो सकते हैं, उनमें शामिल है:
- लंग इंफेक्शन (Lung Infection), निमोनिया (Pneumonia), ट्यूबरक्युलॉसिस (Tuberculosis) या कैंसर (Cancer) की वजह से प्ल्यूरल इफ्यूजन हो सकता है।
- कंजेस्टिव हार्ट फेल्योर (Congestive Heart Failure)।
- लंग्स आर्टरीज में ब्लॉकेज होना।
- किडनी (Kidney) संबंधी बीमारी होना।
- ऑटोइम्यून कंडीशन।
कीमोथेरेपी जो प्रायः कैंसर या हार्ट सर्जरी के बाद दी जाती है। इससे भी प्ल्यूरल इफ्यूजन होने की संभावना बढ़ जाती है।
फुफ्फुस बहाव होने के और भी कारण हैं जैसे –
- फेफड़े का कैंसर (Lung Cancer)
- ब्रेस्ट कैंसर
- हार्ट संबंधी बीमारियां
- लिवर सिरोसिस
खतरा
प्ल्यूरल इफ्यूजन के साथ क्या समस्याएं हो सकती हैं? (Risk factor of Pleural effusion)
फेफड़ों में पानी भर जाने की समस्या को सामान्य बीमारी समझकर अनदेखा ना करें। डॉक्टरों का कहना है कि कई मामलों में यह बीमारी जानलेवा हो सकती है। इसके कारण फेफड़ो में इन्फेक्शन (Lung Infection) हो सकता है, जिससे आगे चलकर फेंफडों के डैमेज होने का खतरा रहता है। जब भी आपको इसके लक्षण नजर आये तो तुरंत हॉस्पिटल में जाकर अपना इलाज करवाएं।
प्लेयूरल इफ्यूजन (Pleural effusion) के साथ और भी समस्याएं हो सकती हैं जैसे
- हाय ब्लड प्रेशर (High Blood Pressure) की समस्या
- स्ट्रोक की समस्या
- लिवर (Liver) की बीमारी
- एचआईवी या एड्स
- पल्मोनरी एडिमा
- इंफेक्शन (Inception)
- ब्लीडिंग
और पढ़ें : Deep Vein Thrombosis (DVT): डीप वेन थ्रोम्बोसिस क्या है? जानें इसके कारण, लक्षण और उपाय
निदान और उपचार
दी गई जानकारी किसी भी चिकित्सा सलाह का विकल्प नहीं है। अधिक जानकारी के लिए हमेशा अपने चिकित्सक से संपर्क करना चाहिए।
प्ल्यूरल इफ्यूजन का निदान कैसे किया जाता है? (Diagnosis of Pleural effusion)
प्ल्यूरल इफ्यूजन का पता लगाने के लिए डॉक्टर शरीर की जांच करते हैं और मरीज का पारिवारिक इतिहास भी देखते हैं। इस बीमारी को जानने के लिए कुछ टेस्ट कराए जाते हैं:
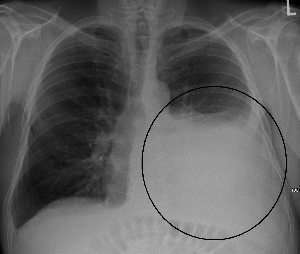
- सीने का एक्स रे
- सीटी स्कैन (CT Scan)
- अल्ट्रासाउंड (Ultrasound)
- ब्रोंकोस्कोपी (Bronchoscopy)
इसके अलावा टेस्ट करने के लिए डॉक्टर इंजेक्शन के माध्यम से चेस्ट कैविटी में मौजूद प्ल्यूरल फ्लूइड को निकलाता है।
इस प्रक्रिया को थोरेसेंटेसिस (Thoracentesis) कहते हैं। चेस्ट कैविटी से फ्लूइड को बाहर निकालने की यह आम प्रक्रिया है। इसके बाद इस निकले हुए फ्लूइड को टेस्ट के लिए लैब में भेजा जाता है जहां पता लगता है कि आपको प्ल्यूरल इफ्यूजन (Pleural effusion) है या नहीं।
इसके अलावा डॉक्टर प्ल्यूरल बायोप्सी (Pleural biopsy) करता जिसके अंतर्गत प्ल्यूरा (Pleura) से ऊतकों का सैम्पल लिया जाता है। इस प्रक्रिया को करने में लिए आपकी चेस्ट कैविटी में एक छोटी से सुई डाली जाती है।
अगर डॉक्टर यह पता लगा लेते हैं कि आपको प्ल्यूरल इफ्यूजन है लेकिन अगर वो यह जानने में असमर्थ होते हैं कि आपको किस टाइप का प्ल्यूरल इफ्यूजन है, तो ऐसी स्थिति में वह थोरैसोस्कोपी (Thoracoscopy) करता है। यह एक सर्जिकल प्रक्रिया है जिसमे डॉक्टर एक फाइबर ऑप्टिक (Fibre optic) कैमरे का इस्तेमाल करके आपकी चेस्ट कैविटी के अंदर देखता है।
प्ल्यूरल इफ्यूजन का इलाज कैसे किया जाता है? (Treatment of Pleural effusion)
लंग्स और चेस्ट कैविटी के बीच तरल पदार्थ क्यों बढ़ा यह समझने के बाद और स्थिति की गंभीरता को समझते हुए इलाज करते हैं। इंफेक्शन होने की वजह से एंटीबायोटिक का इस्तेमाल कर धीरे-धीरे तरल पदार्थ को बाहर निकाला जाता है और प्ल्यूरल इफ्यूजन को कम किया जाता है।
तरल पदार्थ को निम्नलिखित तरीकों से भी ठीक किया जा सकता है। परमानेंट ड्रेन की मदद से बढ़े हुए तरल पदार्थों को कम किया जा सकता है। सर्जरी से भी तरल पदार्थों को कम किया जता है।
और पढ़ें : Skin Disorders : चर्म रोग (त्वचा विकार) क्या है? जानें इसके कारण, लक्षण और उपाय
कुछ अन्य ट्रीटमेंट
- मेम्ब्रेन एरिया में एक खास तरल पदार्थ इंजेक्ट किया जाता है। इंजेक्ट होने की वजह से हल्की सूजन आ सकती है। यह इंफेक्शन से बचाता है और तरल पदार्थ को कम करता है।
- परमानेंट ड्रेन की मदद से बढ़े हुए तरल पदार्थों को कम किया जा सकता है।
- सर्जरी से भी तरल पदार्थों को कम किया जता है। कभी-कभी कैंसर के कारण होने वाले इंफेक्शन सर्जरी से भी कम किया जा सकता है।
जीवनशैली
निम्नलिखित जीवनशैली और घरेलू उपचार आपको प्ल्यूरल इफ्यूजन (Pleural effusion) से निपटने में मदद कर सकते हैं:
- ड्रग्स और एल्कोहॉल का सेवन न करें।
- अगर आप कैंसर से पीड़ित हैं तो आपको डॉक्टर से अपनी परेशानी बतानी चाहिए और दिए गए सलाह का पालन करना चाहिए।
इस आर्टिकल में हमने आपको प्ल्यूरल इफ्यूजन से संबंधित जरूरी बातों को बताने की कोशिश की है। अगर आपको इस बीमारी से जुड़े किसी अन्य सवाल का जवाब जानना है, तो हमसे जरूर पूछें। हम आपके सवालों के जवाब मेडिकल एक्सर्ट्स द्वारा दिलाने की कोशिश करेंगे। अपना ध्यान रखिए और स्वस्थ रहिए।

















