परिचय
ऊपरी बांह का फ्रैक्चर क्या है?
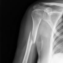
ऊपरी बांह की हड्डी को हुमेरुस कहा जाता है। यह वो हड्डी होती है जो कंधे से लेकर कोहनी तक जाती है। हुमेरुस के फ्रैक्चर यानी टूटने को दो तरह से विभाजित किया गया है: प्रोक्सिमल हुमेरुस फ्रैक्चर या हुमेरुस शाफ़्ट फ्रैक्चर। प्रोक्सिमल हुमेरुस फ्रैक्चर आमतौर पर कंधे के जोड़ के करीब होता है और विभिन्न फ्रैक्चर पैटर्न के साथ अलग-अलग स्तरों पर स्थित हो सकता है: सरल या विखण्डित। दूसरी ओर ह्यूमरस शाफ्ट फ्रैक्चर, वह है जो ऊपरी बांह के मध्य भाग में स्थानबद्ध होता है। बाजू का टूटना एक आम चोट है और यह आमतौर पर कार दुर्घटना या किसी अन्य प्रकार की दुर्घटना के कारण गिरने का परिणाम है।
और पढ़ें : Greenstick Fracture : ग्रीनस्टिक फ्रैक्चर क्या है?
लक्षण
ऊपरी बांह के फ्रैक्चर के लक्षण क्या हैं?
ऊपरी बांह का फ्रैक्चर के लक्षण इस फ्रैक्चर के प्रकार पर निर्भर करता है, जिसमे यह शामिल है:
- दर्द
- सूजन और नील पड़ना
- कंधे को हिलाने में असमर्थ होना
- कभी-कभी ब्लीडिंग होना
- यह समस्या होने पर कंधे और ऊपरी बाजू में दर्द और सूजन हो सकती है। इससे प्रभावित व्यक्ति आमतौर पर आसानी से हाथ ऊपर नहीं कर पाते।
- कभी-कभी, एक नस क्षतिग्रस्त हो जाती है, जिससे ऊपरी बांह सुन्न हो जाती है।
- अगर यह एक या एक से अधिक स्थानों से टूटी है तो बाजू का आकार बदल सकता है।
- आप बाजू में झुनझुनी महसूस कर सकते हैं।
और पढ़ें : Bone spurs : बोन स्पर्स क्या है?
[mc4wp_form id=’183492″]
कारण
ऊपरी बांह के फ्रैक्चर का कारण क्या हैं?
ऊपरी बांह का फ्रैक्चर सामान्य है। इसका मुख्य कारण एक्सीडेंट हो सकता है। यह फ्रैक्चर की लोकेशन और गंभीरता पर निर्भर करता है। कुछ हड्डियां सर्जरी के बिना ठीक हो जाती हैं।
- ट्रॉमा भी ऊपरी बांह का फ्रैक्चर का एक कारण है।
- बुजुर्ग लोग जरा सा गिरने पर भी इस फ्रैक्चर का सामना कर सकते हैं क्योंकि उम्र बढ़ने के साथ ही हड्डियां कमजोर हो जाती हैं।
- खिलाड़ी भी इस के जल्दी शिकार हो सकते हैं।
और पढ़ें : Ankle Fracture Surgery : एंकल फ्रैक्चर सर्जरी क्या है?
जोखिम
ऊपरी बांह के फ्रैक्चर के जोखिम क्या हो सकते हैं?
- बच्चों की हड्डियों का छोटी उम्र में विकास होता है। यही नहीं, इस दौरान बच्चों की हड्डियां भी कमजोर होती है। ऐसे में अगर बच्चों की कोहनी में फ्रैक्चर होता है तो उनके विकास में इसका प्रभाव पड़ सकता है।
- बुजुर्गों की हड्डियां भी कमजोर होती है। ऐसे में अगर उनकी ऊपरी बांह का फ्रैक्चर हो जाए तो उस के ठीक होने में अधिक समय लगा सकता है।
इन समस्याओं के होने के जोखिम कम होते हैं लेकिन किन्हीं स्थितियों में यह हो सकती हैं। जैसे :
- जब टूटी हुई हड्डियों के दोनों सिरे नहीं मुड़ते हैं, तो इसे विच्छेदन (Malunion) कहा जाता है। हालांकि यह हमेशा बुरा नहीं होता और इसमें आप लगभग सामान्य रूप से अपने हाथ का उपयोग कर सकते हैं।
- कई महत्वपूर्ण नसें और ब्लड वेसल होते हैं जो ऊपरी बाजु की हड्डी के बहुत नजदीक होते हैं। यह चोट तब लगती है जब ऊपर की बाजू टूट जाए। इसे न्यूरोवस्क्युलर इंजरी (neurovascular injury )कहा जाता है। ब्रेक को ठीक करने के लिए सर्जरी के दौरान नसों और रक्त वाहिकाओं को भी चोट लग सकती है। यह सुनिश्चित करने के लिए आपके डॉक्टर ऊपरी बांह टूटने के बाद नियमित रूप से आपकी जांच करेंगे कि ब्लड वेसल या नस को कोई चोट तो नहीं है।
- जब हड्डी से ब्लड सप्लाई प्रभावित होती है तो हड्डी मृत हो जाती है। इसे अवास्कुलर नेक्रोसिस कहा जाता है। ऐसा तब होता है जब आपकी ऊपरी बाजु ठीक ऊपर दाहिनी तरह से टूट जाए। ऐसा होना तब बहुत सामान्य है, जब बाजू के टूटने से इसके कई टुकड़े हो गए हों।
- प्रभावित कंधे की डिस्लोकेशन की स्थिति में भी जोखिम भरी हो सकती है।
- रोटेटर कफ इंजरी चार मसल्स का एक ग्रुप है, जो कंधे के जॉइंट के चारों तरफ होता है। यह कंधे को डिस्लोकेट होने से रोकता है। जब आपकी ऊपरी बांह (नजदीक ह्यूमरस फ्रैक्चर) का सिरा टूटता है तो यह क्षतिग्रस्त हो सकता है। इसके लिए सर्जरी की आवश्यकता हो सकती है।
और पढ़ें : पादहस्तासन : पांव से लेकर हाथों तक का है योगासन, जानें इसके लाभ और चेतावनी
उपचार
ऊपरी बांह के फ्रैक्चर का उपचार क्या है?
- आपके डॉक्टर आपकी बाजू की जांच कर के हुमेरुस फ्रैक्चर का निदान करेंगे। आपको X-Ray की सलाह भी दे सकते हैं। हुमेरुस फ्रैक्चर का उपचार कई चीज़ों पर निर्भर करता हैं जैसे फ्रैक्चर का प्रकार कौन सा है और क्या इससे हड्डी के टुकड़े हुए हैं? डॉक्टर आपकी बाजु से कुछ मूवमेंट भी करा सकते हैं ताकि इसका पता चल सके कि फ्रैक्चर किस प्रकार का है और क्या आपको कोई और चोट तो नहीं लगी है।
- कई मामलों में, प्रोक्सिमल और मिड-शाफ़्ट ऊपरी बांह का फ्रैक्चर को सर्जरी की आवश्यकता नहीं होती है क्योंकि टूटे हुए छोर आमतौर पर एक साथ होते हैं। इससे ह्यूमरस को अपने आप ठीक होने में आसानी होती है। हालाँकि, जरूरत पड़ने पर अपनी भुजा को हिलाने और स्थिर रखने के लिए आपको अभी भी एक स्लिंग, ब्रेस या स्प्लिंट पहनना होगा। कभी-कभी, प्लेटों, स्क्रू, रोड या कभी-कभी एक कृत्रिम अंग के उपयोग के साथ सर्जरी की आवश्यकता भी पड सकती है।
डिस्टल फ्रैक्चर और अधिक गंभीर प्रोक्सिमल या मिड-शाफ्ट फ्रैक्चर में आमतौर पर सर्जरी की आवश्यकता होती है। दो मुख्य दृष्टिकोण हैं जो सर्जन उपयोग कर सकते हैं:
- पिंस और स्क्रू : अगर आपको ओपन फ्रैक्चर है। जिसमे एक हड्डी का टुकड़ा त्वचा पर चिपक गया है, तो टूटे हुए एन्डस को साफ़ करने के लिए सर्जरी की आवश्यकता पड सकती है और इसमें हुमेरुस के सिरों को अपने स्थान पर बनाये रखने के लिए पिंस, स्क्रू या प्लेट्स की भी जरूरत हो सकती है।
- बोन ग्राफ्टिंग : अगर हड्डी टूट गयी हो या क्रश हो गयी हों तो आपके सर्जन शरीर के अन्य हिस्से से हड्डी का हिस्सा ले कर हुमेरुस में लगा सकते हैं।
सर्जरी की आवश्यकता हो या नहीं, दोनों ही सूरतों में आपके डॉक्टर आपको नियमित फिजिकल थेरेपी की सलाह दे सकते हैं। इससे आपको व्यायाम और मूवमेंट को सीखने में मदद मिलेगी। जिससे आप को अपनी बांह की मांसपेशियों को मजबूत करने और बाजू के मोशन को प्राप्त करने में मदद मिल सकती है।
और पढ़ें : कंधे के दर्द से राहत पाने के लिए करें इस तरह की एक्सरसाइज
घरेलू उपाय
ऊपरी बांह के फ्रैक्चर से बचाव के लिए घरेलू उपाय क्या है?
- ऊपरी बांह का फ्रैक्चर एक दर्दभरी चोट है जिससे छुटकारा पाने के लिए आप दर्द दूर करने वाली दवाईयां ले सकते हैं लेकिन ऐसा डॉक्टर की सलाह के बाद ही लें।
- इस समस्या को दूर करने के लिए आपको प्लास्टर लगाया जा सकता है, जो भारी होता है। प्लास्टर हड्डी को सही स्थिति में रखने में मदद करता है।
- पहले कुछ हफ़्तों में आपकी बाजू सूज सकता है या नील पड सकता है। आपके फ्रैक्चर को स्थिर बनाये रखने के लिए आप कॉलर या कफ का प्रयोग कर सकते हैं। इनके अलावा आपको यह सलाह भी दी जा सकती है।
1) आपकी कोहनी के नीचे तकिया न रखें।
2) किसी कुर्सी या टेबल पर अपनी बाजू को आराम की स्थिति में न रखें।
3) बेड पर सीधे न लेटें।
4) अपने कपड़े की आस्तीन में अपने घायल हाथ न डालें, बस अपने हाथ को लटका कर रखें।
5) प्लास्टर को हमेशा सूखा रखें।
अधिक जानकारी के लिए आप डॉक्टर से संपर्क कर सकते हैं।

















