परिचय
सिकिल सेल टेस्ट क्या है?
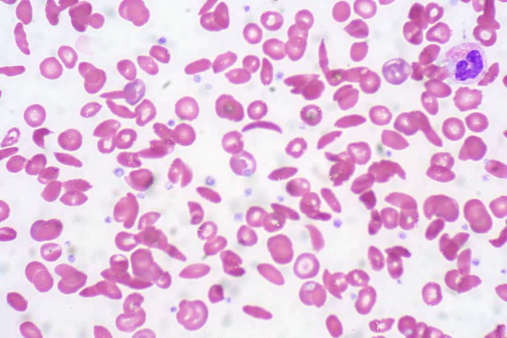
सिकिल सेल टेस्ट एक प्रकार का बल्ड टेस्ट है, जिसका मुख्य उद्देश्य सिकिल सेल डिजीज का पता लगाना है। सिकिल सेल डिजीज एक आनुवंशिक बीमारी है, जो रेड ब्लड सेल्स में होती है। ये माता-पिता से बच्चों में जाते हैं। इस बीमारी में रेड ब्लड सेल्स दंतारि या हसिए के आकार के होते हैं। जिस कारण रेड ब्लड सेल्स का आकार अनियमित हो जाता है और इसमें एक असामान्य प्रकार का हीमोग्लोबिन पाया जाता है। इसे हीमोग्लोबिन एस (hemoglobin S) कहते हैं। वहीं, सामान्य हीमोग्लोबिन को हीमोग्लोबिन ए (hemoglobin A) कहते हैं।
यह भी पढ़ें : Sickle Cell Anemia : सिकल सेल एनीमिया क्या है? जानें इसके कारण, लक्षण और इलाज
सिकिल ब्लड सेल्स को हमारा शरीर सामान्य ब्लड सेल्स की तुलना में जल्दी नष्ट करता है। जिस कारण से एनीमिया हो जाता है। सिकिल सेल खून की नसों में अटक जाता है, जिससे खून का प्रवाह धीमा या कभी-कभी ब्लॉक हो जाता है। जिसके कारण अंग, मांसपेशियां और हड्डियां डैमेज हो जाते हैं। साथ ही ये जानलेवा भी साबित हो सकता है।
सिकिल सेल टेस्ट को करने के लिए सबसे अच्छी विधि हाई-परफॉर्मेंस लिक्विड क्रोमैटोग्राफी (HPLC) है। इस विधि से पता चलता है कि सिकिल सेल में किस तरह का हीमोग्लोबिन है।
सिकिल सेल टेस्ट क्यों किया जाता है?
जिस बच्चे में सिकिल सेल डिजीज होने का खतरा रहता है, उसमें जन्म के तुरंत बाद से ही ये टेस्ट नियमित रूप से होने लगता है। ताकि बच्चे को एक स्वस्थ्य जीवन दिया जा सके। वहीं, ये टेस्ट पूरे जीवन पर नियमित टेस्ट के रूप में होता रहेगा।
सिकिल सेल टेस्ट को डॉक्टर इन लक्षणों के सामने आने पर कराया जाता है :
- सिकिल सेल के कारण दर्द होता है। सिकिल सेल डिजीज से ग्रसित लोगों के हड्डियों, जोड़ों, फेफड़ों और पेट में दर्द होता है।
- सिकिल सेल डिजीज हिमोलिटिक एनीमिया है, जिसमें शरीर में रेड ब्लड सेल्स की मात्रा काफी कम होती है। रेड ब्लड सेल्स कम होने के कारण कोशिकाओं तक ऑक्सीजन सुचारु रूप से नहीं पहुंच पाता है। इससे लोगों में हर समय थकान महसूस होती रहती है।
- निमोनिया जैसे संक्रमण होने का खतरा काफी बढ़ जाता है। कुछ मामलों में तो निमोनिया के कारण बच्चे की मौत तक हो जाती है।
- त्वचा और आंखों का पीला पड़ना
- अवरुद्ध रक्त प्रवाह के कारण हाथ-पैर सिंड्रोम
- सिकिल सेल डिजीज के कारण चेस्ट सिंड्रोम भी हो जाता है। चेस्ट सिंड्रोम होने पर खांसी, सीने में दर्द और बुखार हो जाता है।
- साफ नजर न आना
- बार बार इंफेक्शन होना
- विकास में देरी
- सांस लेने में दिक्कत होना
यह भी पढ़ें : नवजात शिशु के लिए 6 जरूरी हेल्थ चेकअप
जरूरी बातें
सिकिल सेल टेस्ट करवाने से पहले मुझे क्या पता होना चाहिए?
सिकिल सेल एनीमिया के लक्षण अलग-अलग लोगों में अलग देखने को मिलते हैं, चाहे वो एक ही परिवार से ही क्यों न हो। सिकिल सेल एनीमिया से ग्रसित लोगों को खून चढ़ाने की जरूरत पड़ती है। अगर आपने पिछले तीन महीने पहले खून चढ़वाया है तो आपको सिकिल सेल टेस्ट नहीं कराना चाहिए। क्योंकि नए खून के द्वारा आपके शरीर में नॉर्मल रेड ब्लड सेल्स की मात्रा आ जाती है। जिसके कारण आपकी रिपोर्ट नेगेटिव आएगी।
यह भी पढ़ें : क्या ब्लड रिलेशन में शादी करना सही है? जानिए वैज्ञानिक कारण
प्रक्रिया
सिकिल सेल टेस्ट के लिए मुझे खुद को कैसे तैयार करना चाहिए?
सिकिल सेल टेस्ट कराने से पहले आपको कोई भी तैयारी करने की जरूरत नहीं है। लेकिन आप सिकिल सेल टेस्ट कराने से पहले अपने डॉक्टर को बता दें कि आपको लगभग चार महीने पहले खून चढ़ाया गया हो। ऐसा न करने से आपके टेस्ट का रिजल्ट प्रभावित होगा।
यह भी पढ़ें : कॉर्ड ब्लड बैंकिंग क्या है?
इस टेस्ट में होने वाली प्रक्रिया क्या है?
सिकिल सेल टेस्ट की प्रक्रिया बेहद आसान है :
- सबसे पहले हेल्थ प्रोफेशनल आपके बाजू (Upper Arm) में एक इलास्टिक बैंड बांधेंगे। जिससे आपके खून का प्रवाह रूक जाएगा।
- फिर जहां से खून निकालना होगा वहां पर एल्कोहॉल से साफ करते हैं।
- आपके हाथ की नस में सुई डाल कर खून निकाल लेते है।
- निकाले हुए खून को एक ट्यूब में भर कर सुरक्षित रख देंगे।
- जहां से खून निकालते हैं, वहां पर रूई से दबा देते हैं ताकि खून बहना बंद हो जाए।
- वहीं, अगर बच्चों का सिकिल सेल टेस्ट करना हो तो लैब टेक्नीशियन बच्चे के अंगुली की त्वचा पर निडिल चुभा कर खून निकालते हैं। जिसे सीधे स्लाइड या टेस्ट स्ट्रीप पर ही ले लेते हैं।
सिकिल सेल टेस्ट के बाद क्या होता है?
ब्लड का सैंपल लेने के बाद उसे जांच के लिए लैब में भेज दिया जाएगा। टेस्ट के बाद आप तुरंत सामान्य हो जाएंगे। आप चाहे तो तुरंत घर जा सकते हैं। किसी भी तरह की समस्या होने पर आप हेल्थ प्रोफेशनल से तुरंत बात करें। ब्लड टेस्ट का रिजल्ट आपको एक दिन में मिल जाएगा।
यह भी पढ़ें : माता-पिता से बच्चे का ब्लड ग्रुप अलग क्यों होता है ?
रिजल्ट को समझें
सिकिल सेल टेस्ट के रिजल्ट का क्या मतलब है?
सिकिल सेल टेस्ट का रिजल्ट लैब के हिसाब से अलग-अलग होता है। इसलिए अपने रिपोर्ट को आप डॉक्टर से समझें। आपके रिजल्ट में दो चीजें लिखी हो सकती है :
- नॉर्मल : नॉर्मल हीमोग्लोबिन उपस्थित है।
- अबनॉर्मल : असामान्य हीमोग्लोबिन उपस्थित है।
इसका मतलब यह होता है कि आपके खून में सामान्य हीमोग्लोबिन (Hb A) है। वहीं आधे हीमोग्लोबिन असामान्य प्रकार (Hb S) के हैं।
सिकिल सेल डिजीज में हीमोग्लोबिन एस के साथ ज्यादातर कुछ दूसरे प्रकार के हीमोग्लोबिन भी रहते हैं, जिन्हें हीमोग्लोबिन एफ (Hemoglobin F) कहा जाता है।
बच्चों में सिकिल सेल ब्लड टेस्ट हर छह महीने पर होता रहता है। वहीं, बता दें कि टेस्ट की रिपोर्ट हॉस्पिटल और लैबोरेट्री के तरीकों पर निर्भर करती है। इसलिए आप अपने डॉक्टर से टेस्ट रिपोर्ट के बारे में अच्छे से समझ लें।
हैलो स्वास्थ्य किसी भी तरह की मेडिकल सलाह नहीं दे रहा है। अगर आपको किसी भी तरह की समस्या हो तो आप अपने डॉक्टर से जरूर पूछ लें।
हम आशा करते हैं आपको हमारा यह लेख पसंद आया होगा। हैलो हेल्थ के इस आर्टिकल में सिकिल सेल टेस्ट से जुड़ी ज्यादातर जानकारियां देने की कोशिश की है, जो आपके काफी काम आ सकती हैं। अगर आपको ऊपर बताई गई कोई सी भी लक्षण नजर आते हैं तो आपका डॉक्टर आपको यह टेस्ट कराने के लिए कब सकता है। सिकिल सेल टेस्ट से जुड़ी यदि आप अन्य जानकारी चाहते हैं तो आप हमसे कमेंट कर पूछ सकते हैं। आपको हमारा यह लेख कैसा लगा यह भी आप कमेंट सेक्शन में बता सकते हैं।
और पढ़ें:
HCG Blood Test: जानें क्या है एचसीजी ब्लड टेस्ट?
Uric Acid Blood Test : यूरिक एसिड ब्लड टेस्ट क्या है?
Allergy Blood Test : एलर्जी ब्लड टेस्ट क्या है?
Blood Smear Test : ब्लड स्मीयर टेस्ट क्या है?
[embed-health-tool-bmi]

















