backup og meta

Genital Herpes: जेनिटल हर्पीस क्या है? जानें इसके कारण, लक्षण और उपाय

परिचयकारणलक्षणइलाजजरूरी बातें

परिचय

जेनिटल हर्पीस क्या है? (What is genital herpes)

जेनिटल हर्पीस यानी जननांग का दाद। यह एक यौन संक्रमण है। जो आपको अपने यौन साथी से मिल सकता है। यह संक्रमण तेजी से फैलता है। जेनिटल हर्पीस कर्पीस सिंप्लेक्स वायरस (एचएसवी) से होता है। जब आप यौन ओरल, एनल या जेनाइटल सेक्स करते हैं तो यह फैल जाता है। ऐसा हो सकता है कि संक्रमण के सालों बाद भी आपमें कोई लक्षण न दिखाई दें। यौन संबंध बनाने वाले लोगों को अक्सर यह बीमारी हो जाती है। आप अकेले नहीं हैं।

Genital Herpes: जेनिटल हर्पीस क्या है? जानें इसके कारण, लक्षण और उपाय

अमेरिकी लोगों में लगभग 6 में से 1 को जेनाइटल हर्पीज की समस्या है। हर साल एचएसवी -2 के लगभग 776,000 नए मामले सामने आते हैं। यह बीमारी लाइलाज नहीं है। इलाज करवाने पर यह ठीक हो जाती है।

और पढ़ें:  प्रेग्नेंसी में दाद की समस्या के कारण और बचाव के तरीके

एचएसवी के 2 प्रकार हैं: हर्पीज सिंप्लेक्स वायरस -1 और हर्पीज सिंप्लेक्स वायरस -2। पहले वाले वायरस से घाव बनते हैं। वहीं दूसरे वायरस से जेनिटल हर्पीस हो जाता है। यह किसी भी तरह के यौन संपर्क के फैलता है।

हर्पीज यानी दाद के साथ कुछ लोगों को जननांग में छाले और अल्सर होने का खतरा रहता है। कई लोगों में जेनाइटल हर्पीज के कोई लक्षण नहीं होते हैं, लेकिन फिर भी बीमारी फैलाती रहती है। हर्पीज के लिए कोई इलाज नहीं है, लेकिन लक्षणों का इलाज किया जा सकता है। पुरुषों की अपेक्षा यह ​महिलाओं में ज्यादा आम होता है। यह पुरुषों से महिलाओं में फैलता है। यह ज्यादातर 50 की उम्र के कम लोगों में देखा जाता है।

[mc4wp_form id=’183492″]

कारण

जेनिटल हर्पीस के कारण क्या हैं? (What are the causes of genital herpes)

  • जेनिटल हर्पीस होने का कारण बैक्टीरिया और वायरस हैं। इन वायरस को हर्पीज सिम्प्लेक्स -2 (एचएसवी -2) कहा जाता है। वहीं HSV-1 से से जननांग पर छाले हो जाते हैं। एचएसवी -2 आपको अपने यौन साथी से मिलता है।
  • जब किसी संक्रमित व्यक्ति के साथ आपके शरीर की त्वचा का संपर्क होता है तो ये वायरस आपमें भी प्रवेश ​कर जाते हैं। यह संक्रमण तेजी से फैलता है। हो सकता है कि इसके लक्षण न नजर आएं लेकिन यह फैलता रहता है। साथ ही यौन संबंध बनाने पर यह दूसरे को भी संक्रमित कर देता है।
  • यौन संबंध बनाने के अलावा यह कपड़ों से भी एक से दूसरे में फैल जाता है। जो कपड़े संक्रमित व्यक्ति पहनता है, हर्पीज उन कपड़ों से छूते रहते हैं। जब इन कपड़ों को कोई और पहनता है तो उसे भी ये बीमारी हो जाती है।
  • सामान्य दिखने वाली त्वचा भी संक्रमण फैला सकती है। जेनिटल हर्पीस के लक्षण दिखने में 4 से 12 दिन तक लग सकते हैं।
  • जेनिटल हर्पीस हर व्यक्ति को अलग-अलग तरीके से प्रभावित करता है।
  • अगर शारीरिक या इमोशनल तनाव होगा, डॉक्टर से बिना पूछे दवाएं लेंगे तो जेनाइटल हर्पीज की समस्या ज्यादा बढ़ सकती है। यह जननांग और मुंह के तरल पदार्थ से भी फैलता है।
  • जेनिटल हर्पीस में जननांग के आस-पास फफोले हो जाते हैं। अगर फफोले नहीं हैं, तो इसका मतलब यह नहीं ​है कि आप सं​क्रमित नहीं हैं। इससे आप दूसरों को भी संक्रमित कर सकते हैं।

और पढ़ें :  Ringworm : दाद (रिंगवर्म) क्या है?

लक्षण

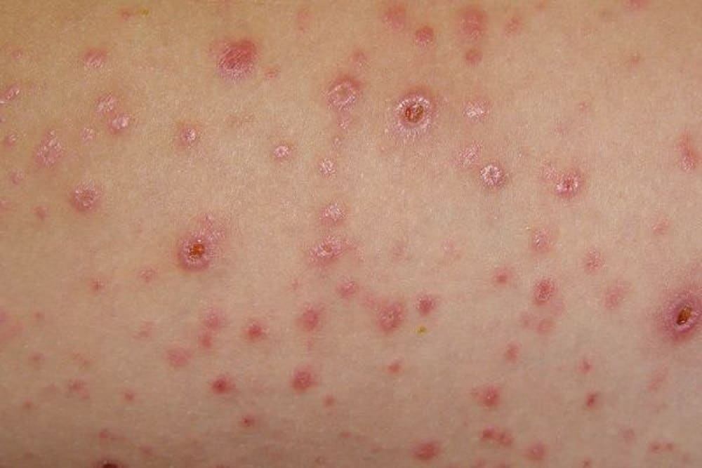
जेनिटल हर्पीस के लक्षण क्या हैं? (What are the symptoms of genital herpes?)

जेनिटल हर्पीस के लक्षण हर किसी में अलग-अलग हो सकते हैं। कुछ मरीजों में एक भी लक्षण न होने के बावजूद संक्रमण बढ़ता रहता है। जानते हैं इसके लक्षणों के बारे में….

  • जननांगों के आसपास खुजली या तनाव महसूस हो सकता है। यह आमतौर पर दर्दनाक होता है।
  • छोटे फफोले होते हैं जो घाव की तरह दिखते हैं। इनसे खून या पस निकल सकता है।
  • जब आपको किसी और से संक्रमण मिलता है तो कुछ हफ्तों के अंदर ही लक्षण दिखने लगते हैं। पहली बार ऐसा होने पर आपको बुखार, सिरदर्द या फ्लू जैसा महसूस हो सकता है।
  • कुछ लोगों में एक भी लक्षण नहीं होता है। वहीं कुछ लोगों में हल्के लक्षण होते हैं।
  • जिस महिला या पुरुष को ​संक्रमण होता है, हो सकता है कि वे इस बारे में जागरूक न हों।
  • योनि के पास मौजूद छाले, अल्सर का रूप भी ले सकते हैं। इसके अलावा शरीर में दर्द हो सकता है।
  • ठंड लगना, त्वचा की खुजली, जलन या झुनझुनी भी जेनाइटल हर्पीज के आम लक्षणों में से एक है।
  • मूत्रमार्ग में संक्रमण की वजह से सूजन हो सकती है। जिससे पेशाब करने पर दर्द होता है।

और पढ़ें: हर्पीस के साथ सेक्स संभव है या नहीं, जानने के लिए पढ़ें यह आर्टिकल

इलाज

जेनिटल हर्पीस का इलाज क्या है? (What is the treatment for genital herpes?)

  • जेनिटल हर्पीस को पूरी तरह से ठीक नहीं किया जा सकता है। डॉक्टर इसके लक्षणों का इलाज कर इसे नियंत्रित कर सकते हैं। इलाज के ​डॉक्टर सबसे पहले कुछ शारीरिक परीक्षण करते हैं। वे आपसे लक्षणों के बारे में पूछेंगे। साथ ही, आपका ब्लड भी टेस्ट करवाएंगे।
  • लक्षणों को ध्यान में रखकर डॉक्टर आपको एंटीवायरल दवाई देना शुरू करेंगे।
  • ये दवाएं गंभीर लक्षणों को कम करने में मदद करती हैं।
  • जेनिटल हर्पीस के लिए दो अलग-अलग उपचार हैं: सप्रेसिव थेरेपी और एपिसोडिक थेरेपी।
  • सप्रेसिव थेरेपी में, हर्पीज​ के लक्षणों को कम करने के लिए हर दिन एंटीवायरल दवाएं दी जाती हैं। जैसे-जैसे लक्षण कम होंगे वैसे-वैसे आप अपने साथी को भी इस संक्रमण से बचा पाएंगे।
  • ज्यादा लक्षण वाले लोगों के लिए एपिसोडिक उपचार बेहतर होता है।
  • जेनाइटल हर्पीस योनि के अंदर भी हो सकता है। इसमें योनि के अंदर फफोले हो जाते हैं। ऐसे में महिलाओं को मासिक धर्म के दौरान बहुत दर्द होता है। ऐसे में डॉक्टर महिलाओं को मेंस्ट्रुअल कप की जगह पैड का इस्तेमाल करने को कह सकते हैं।
  • आपका डॉक्टर आइबूप्रोफेन (एडविल) जैसी दर्द की दवाओं की सिफारिश भी कर सकते हैं।
  • सूजन को कम करने के लिए तौलिये में बर्फ लपेटकर सेकें। इससे आपको आराम मिल सकता है।

और पढ़ें: हर्पीस वायरस की इस गंभीर रोग से निपटने के लिए मिल गयी है वैक्सीन

जरूरी बातें

जेनाइटल हर्पीज से जुड़ी जरूरी बातें

  • जेनाइटल हर्पीज मां से बच्चे में भी जा सकता है। डिलीवरी के समय मां से बच्चे में संक्रमण फैलना संभव है। हर्पीस के घाव कम ज्यादा होते रहते हैं।
  • संक्रमण इस बात पर निर्भर करता है कि प्रसव के वक्त मां को घाव हैं या नहीं।
  • अगर प्रसव के समय योनि में घाव के लक्षण नहीं हैं तो मां स्वस्थ बच्चे को जन्म दे सकती है।
  • अगर मां में हर्पीज के ज्यादा लक्षण नजर आते हैं तो डॉक्टर मां को नॉर्मल डिलीवरी के बजाय सीज़ेरियन ऑपरेशन के जरिये बच्चे के जन्म की सलाह देते हैं।
  • यदि आप गर्भवती हैं और आप जेनाइटल हर्पीज से जूझ रही हैं तो यौन संबंध बनाने से बचें। तीन महीने बाद यह ज्यादा खतरनाक साबित हो सकता है।

उम्मीद करते हैं कि आपको यह आर्टिकल पसंद आया होगा औ रजेनाइटल हर्पीज से संबंधित जरूरी जानकारियां मिल गई होंगी। अधिक जानकारी के लिए एक्सपर्ट से सलाह जरूर लें। अगर आपके मन में अन्य कोई सवाल हैं तो आप हमारे फेसबुक पेज पर पूछ सकते हैं। हम आपके सभी सवालों के जवाब आपको कमेंट बॉक्स में देने की पूरी कोशिश करेंगे। अपने करीबियों को इस जानकारी से अवगत कराने के लिए आप ये आर्टिकल जरूर शेयर करें।

डिस्क्लेमर

हैलो हेल्थ ग्रुप हेल्थ सलाह, निदान और इलाज इत्यादि सेवाएं नहीं देता।

Genital herpes. https://www.mayoclinic.org/diseases-conditions/genital-herpes/symptoms-causes/syc-20356161. Accessed On 28 September, 2020.

Genital Herpes – CDC Fact Sheet. https://www.cdc.gov/std/herpes/stdfact-herpes.htm. Accessed On 28 September, 2020.

Genital Herpes. https://kidshealth.org/en/teens/std-herpes.html. Accessed On 28 September, 2020.

Genital herpes. https://www.nhs.uk/conditions/genital-herpes/. Accessed On 28 September, 2020.

GENITAL HERPES SYMPTOMS & TREATMENT. https://www.avert.org/sex-stis/sexually-transmitted-infections/herpes. Accessed On 28 September, 2020.

Current Version

26/02/2021

Mona narang द्वारा लिखित

के द्वारा मेडिकली रिव्यूड डॉ. प्रणाली पाटील

Updated by: डॉ. प्रणाली पाटील


संबंधित पोस्ट

Filariasis (Elephantiasis): फाइलेरिया या हाथी पांव क्या है? जानें इसके कारण, लक्षण और उपाय

सर्वाइकल डिस्टोनिया (स्पासमोडिक टोरटिकोलिस) क्या है? जानें इसके कारण, लक्षण और उपाय


के द्वारा मेडिकली रिव्यूड

डॉ. प्रणाली पाटील

फार्मेसी · Hello Swasthya


Mona narang द्वारा लिखित · अपडेटेड 26/02/2021

ad icon विज्ञापन

Was this article helpful?