निमोनाइटिस (Pneumonitis) क्या है?
निमोनाइटिस सांस से जुड़ी हुई एक गंभीर बीमारी है, जिसका इलाज सही समय पर ना किया जाए तो इससे मरीज की मौत भी हो सकती है। निमोनाइटिस में मरीज के फेफड़ों में एक विशेष तरह का इंफेक्शन फैल जाता है, जो शरीर के इम्युन सिस्टम को कमजोर कर देता है। आमतौर पर इस बीमारी के लक्षण नवजात शिशुओं और बुजुर्गों में ज्यादा पाए जाते हैं। वर्ल्ड हेल्थ ऑर्गेनाइजेशन के सर्वे के अनुसार प्रति वर्ष 5 साल से कम उम्र के करीब 15 प्रतिशत बच्चों की मौत इसी बीमारी के कारण होती है।

डॉक्टरों के मुताबिक निमोनाइटिस तब होता है जब कोई भी जीवाणु व्यक्ति के फेफड़ों में प्रवेश कर जाता है। इस दौरान हवा की थैलियों में सूजन होने लगती है, जिससे मरीज को सांस लेने में परेशानी, हार्ट बीट्स का तेज होने जैसी समस्या होने लगती हैं।
कितना सामान्य है निमोनाइटिस (Pneumonitis) होना?
निमोनाइटिस फेफड़ों को होने वाला संक्रमण है, जो बैक्टीरिया, वायरस, फंगस अथवा पैरासाइट्स के कारण होता है। इसकी सबसे अहम पहचान है, फेफड़ों की वायुकोषिका में सूजन का आना या उसमें एक तरह का तरल पदार्थ का भर जाना। यह महिला और पुरुष दोनों में समान प्रभाव डालता है। कुछ वक्त पहले हुए एक शोध में यह बात सामने आई थी कि पूरे विश्व में लगभग 2 लाख से ज्यादा लोग इस बीमारी से पीड़ित है। अगर आपके मन में निमोनाइटिस को लेकर कोई भी सवाल है तो इस बारे में ज्यादा जानकारी के लिए अपने डॉक्टर या नजदीकी अस्पताल में संपर्क करें।
निमोनाइटिस शरीर के कई सिस्टम को प्रभावित करता है। डॉक्टरों के अनुसार निमोनाइटिस का एक व्यक्ति से दूसरे व्यक्ति तक फैलने के लिए जरूरी नहीं है कि दोनों का संपर्क हो। डॉक्टरों के अनुसार छोटे शिशुओं को अगर सर्दी-खांसी ज्यादा परेशान कर रही है और लगातार 7 से 8 दिन स्थिति जस की तस बनी रहती है तो यह निमोनाइटिस का कारण हो सकता है।
अगर, आपको ऊपर दिए गए कोई भी लक्षण दिखाई देते हैं या महसूस होते हैं तुरंत अपने डॉक्टर से संपर्क करें।
मुझे डॉक्टर को कब दिखाना चाहिए?
ऊपर बताएं गए लक्षणों में किसी भी लक्षण के सामने आने के बाद आप डॉक्टर से मिलें। इस बात का ध्यान रखें कि निमोनाइटिस हर किसी व्यक्ति पर अलग-अलग प्रभाव डालता है। इसलिए किसी भी परिस्थिति के लिए अपने डॉक्टर से बातचीत अवश्य करें। बिना डॉक्टर की सलाह लिए निमोनाइटिस के इलाज के लिए किसी तरह की दवा का सेवन ना करें।
और पढ़ें:Diabetic Eye Disease: मधुमेह संबंधी नेत्र रोग क्या है?
रिसर्च के अनुसार बैक्टीरिया, वायरस या फंगल के कारण निमोनाइटिस जैसी बीमारी किसी को भी आसानी से चपेट में ले सकती है। इसके साथ ही मौसम बदलने, सर्दी लगने, फेफड़ों पर चोट लगने और चिकनपॉक्स जैसी बीमारियों में भी निमोनाइटिस होने का खतरा बन सकता है।
इसके साथ ही टीबी, एड्स, अस्थमा, डायबिटीज, कैंसर और हार्ट के मरीजों में भी निमोनाइटिस होने की संभावना बहुत ज्यादा होती है। कुछ दिनों पहले हुई एक रिसर्च में यह बात सामने आई थी कि दिल्ली, मुंबई, यूपी जैसे शहरों में लोग वायु और जल प्रदूषण के कारण निमोनाइटिस का शिकार हो रहे हैं।
और पढ़ें: GERD: गैस्ट्रोइसोफेगल रिफ्लक्स रोग (जीईआरडी) क्या है?
निमोनाइटिस मुख्य तौर पर बैक्टीरिया, वायरस या फंगल के कारण होता है। डॉक्टरों के अनुसार निमोनाइटिस का इलाज समय रहते न कराया जाए तो इससे फेफड़ों का इंफेक्शन, छाती में दर्द जैसी समस्याएं हो सकती हैं। कुछ मामलों में निमोनाइटिस के कारण मरीजों को अस्थमा की समस्या भी हो सकती है।
इस लेख में निमोनाइटिस के बारे में जो जानकारी दी गई है उसे किसी भी तरह के मेडिकल सलाह के तौर पर ना लें। इस वायरस से संबंधित अगर कोई भी सवाल और ज्यादा जानकारी के लिए अपने डॉक्टर से संपर्क करें।
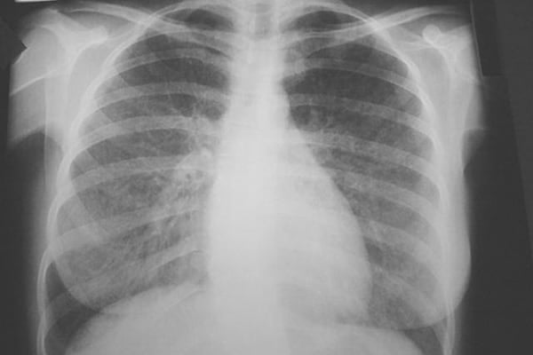
निमोनाइटिस का पता लगाने के लिए डॉक्टर शरीर की जांच करते हैं और मरीज की मेडिकल हिस्ट्री के बारे में विस्तार से जानकारी प्राप्त करना चाहते हैं।
निमोनाइटिस का इलाज कैसे होता है?
निमोनाइटिस का कोई सटीक इलाज नहीं है। लेकिन, कुछ थेरिपी और दवाओं से संक्रमित व्यक्ति या मरीज में इस संक्रमण के असर को कम किया जाता है।
कुछ मामलों में समय अनुसार दवा का सेवन करने के बाद भी वायरस के लक्षण कम नहीं हो सकते है। इससे राहत पाने के लिए आपको रोजाना के लाइफस्टाइल में थोड़ा सा बदलाव करने की आवश्यकता है।
[mc4wp_form id=’183492″]
डिस्क्लेमर
हैलो हेल्थ ग्रुप हेल्थ सलाह, निदान और इलाज इत्यादि सेवाएं नहीं देता।
https://www.nhlbi.nih.gov/health-topics/hypersensitivity-pneumonitis Accessed 20 march 2020
https://www.healthline.com/health/pneumonitis Accessed 20 march 2020
https://www.mayoclinic.org/diseases-conditions/pneumonitis/symptoms-causes/syc-20352623 Accessed 20 march 2020
https://www.webmd.com/lung/hypersensitivity-pneumonitis-overview#1 Accessed 20 march 2020
Current Version
04/07/2022
Anoop Singh द्वारा लिखित
के द्वारा मेडिकली रिव्यूड डॉ. प्रणाली पाटील
Updated by: Manjari Khare