परिचय
ऑस्टियोकॉन्ड्राइटिस डिस्केन्स (Osteochondritis dissecans) क्या है?
जोड़ वह जगह है जहाँ हड्डियों के सिरे मिलते हैं, जैसे कि आपके घुटने, टखने या कंधे का जोड़। एक चिकनी, फिसलन वाले टिशू की वजह से स्वस्थ जोड़ आसानी से मूव करते हैं जिसे आर्टिकुलर कार्टिलेज (Articular cartilage) कहा जाता है। नरम हड्डी आपकी हड्डियों के सिरों को कवर करती है और उनकी सुरक्षा करती है जहां वे जोड़ बनाने के लिए मिलते हैं।
ओस्टियोकॉन्ड्राइटिस डिस्केन (Osteochondritis dissecans) तब होता है जब रक्त की आपूर्ति में कमी के कारण जोड़ में हड्डी का टुकड़ा बाकी हड्डी (Bone) से अलग हो जाता है। यह अक्सर घुटने या कूल्हे को प्रभावित करता है और इसके बाद टखनों और कोहनी को प्रभावित करता है। कभी-कभी, अलग-अलग टुकड़ा अपने ही जगह पर रहता है या मरम्मत करता रहता है। हालांकि, बाद के चरणों में, हड्डी छीज सकती है और जोड़ टूट सकता है, जिसके कारण दर्द (Pain) और गति में बाधा आती है।
ऑस्टियोकॉन्ड्राइटिस डिस्केन (Osteochondritis dissecans) सबसे अधिक बच्चों (Children) और किशोरों में पाया जाता है। जैसे : 10 से 20 के वर्ष और 30 से 60 वर्ष के लोगों में पाया जाता है। जोड़ के चोट के बाद भी यह लक्षण पैदा कर सकता है या जो लोग विशेष रूप से इन गतिविधियों के कारण जैसे कूदना, दौड़ना (Running) और अक्सर व्यायाम (Exercise) करने से जोड़ को प्रभावित करता है। यह घुटने में सबसे अधिक होती है, लेकिन कोहनी, टखनों और अन्य जोड़ों में भी होती है।
बच्चों में ऑस्टियोकॉन्ड्राइटिस डिस्केन्स के कई मामलों में, प्रभावित हड्डी और नरम हड्डी अपने दम पर ठीक हो जाते हैं, खासकर अगर एक बच्चा अभी भी बढ़ रहा है। बड़े बच्चों और युवा वयस्कों में, ओसीडी के अधिक गंभीर प्रभाव हो सकते हैं। ओसीडी के घावों (Wound) में आसपास की हड्डी और नरम हड्डी से अलग होने की अधिक संभावना होती है, और जोड़ के अंदर भी अलग हो सकते हैं और तैर सकते हैं। इन मामलों में, सर्जरी आवश्यक हो सकती है।
और पढ़ें : जानिए ओसीडी (OCD) का दिमाग पर क्या असर पड़ता है
लक्षण
ऑस्टियोकॉन्ड्राइटिस डिस्केन्स के लक्षण क्या हैं? (Symptoms of Osteochondritis dissecans)
स्टियोकॉन्ड्राइटिस डिस्केन्स हर हिस्से के जोड़ों में हो सकता है, जिसमें कूल्हे और टखने भी शामिल हैं, लेकिन 75 प्रतिशत मामले घुटने (Knee) को प्रभावित करते हैं।
ओसीडी के लक्षणों में शामिल हैं
- दर्द का होना, जैसे व्यायाम करने के बाद दर्द (Pain) हो सकता है। लेकिन ये दर्द (Pain) सभी व्यक्तियों को नहीं होता है। यदि दर्द होता है तो हल्का महसूस होता है।
- अगर चलते समय घुटने के टुकड़े अटकते हैं, तो समझ लें कि आपके जोड़ों में दरार हो सकता है।
- बाहों और पैरों के जोड़ों का सीधा न हो पाना।
- सूजन (Swelling), और जोड़ में पीड़ा
- विशेष रूप से शारीरिक गतिविधि के बाद जोड़ों में दर्द (Joints) होना
और पढ़ें : Metatarsalgia: तलवों में दर्द क्या है?
कारण
ऑस्टियोकॉन्ड्राइटिस डिस्केन्स का कारण क्या है? (Cause of Osteochondritis dissecans)
अभी तक ऑस्टियोकॉन्ड्राइटिस डिस्केन्स का कारण स्पष्ट नहीं है, लेकिन हड्डी में रक्त की आपूर्ति के नुकसान से संबंधित माना जाता है। हड्डी में रक्त की आपूर्ति से हड्डी का एक छोटा हिस्सा मर जाता है। यह डिसऑर्डर (Disorder) लोगों को चोट लगने के बाद या उस प्रभावित क्षेत्र में बार-बार चोट लगने से होता है। यही नहीं ओसीडी के विकास के जोखिम को काफी बढ़ा सकता है। जो व्यक्ति प्रतिस्पर्धी खेल (Game) खेलते हैं, वे नियमित रूप से अपने जोड़ों पर जोर देते हैं। जिस कारण यह डिसऑर्डर का सामना करना पड़ता है। ओसीडी कभी-कभी परिवार के एक से अधिक सदस्यों को प्रभावित करता है। यह विरासत में मिली आनुवांशिक (अनुवांशिक बीमारी) संवेदनशीलता को इंगित कर सकता है।
और पढ़ें : Obsessive Compulsive Disorder : ऑब्सेसिव कंपल्सिव डिसऑर्डर या ओसीडी रोग क्या है?
ऑस्टियोकॉन्ड्राइटिस डिस्केन्स के जोखिम?
ऑस्टियोकॉन्ड्राइटिस डिस्केन्स के जोखिम? (Risk factor of Osteochondritis dissecans)
- ऑस्टियोकॉन्ड्राइटिस डिस्केन्स (Osteochondritis dissecans) सबसे अधिक बच्चों और युवा वयस्कों में 10-20 वर्ष की आयु के बीच होता है
- लिंग कि बात की जाए तो पुरुषों में महिलाओं की तुलना सबसे अधिक जोखिम पाया जाता है।
- दौड़ने, कूदने और कुछ व्यायाम करने से ऑस्टियोकॉन्ड्राइटिस डिस्केन्स (Osteochondritis dissecans) का खतरा बढ़ सकता है
डॉक्टर को कब दिखाएं
अगर आपको ये लक्षण दिखाई दे रहें हैं तो डॉक्टर से सम्पर्क करके उनकी सलाह जरूर लें। जैसे: आपके घुटने (Knee), कोहनी के जोड़ में लगातार दर्द (Pain) या पीड़ा (Joints pain in elbow) रहती है या चलते समय घुटना अटकता है, तो अपने डॉक्टर को दिखाएं। अगर कुहनी और घुटने में सूजन है और मूवमेंट करने में दिक्कत आ रही है, तो आप अपने डॉ. को कॉल करें या तुरंत अपने डॉ. से सम्पर्क करें।
और पढ़ें : Knee Arthroscopy : घुटने की आर्थोस्कोपी सर्जरी क्या है?
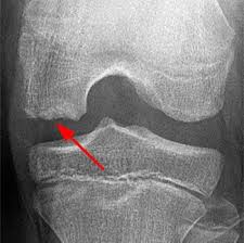
परीक्षण
ऑस्टियोकॉन्ड्राइटिस डिस्केन्स का परीक्षण ? (Diagnosis of Osteochondritis dissecans)
जो व्यक्ति जोड़ में ओसीडी के लक्षणों का अनुभव करते हैं, उसे चिकित्सा की सलाह जरूर लेनी चाहिए। इसका जल्दी इलाज करवाने का मतलब है अधिक प्रभावी उपचार और जोखिम को कम करना। इसकी जांच के लिए सबसे पहले डॉक्टर शारीरिक जांच करेंगे और आपको अपने जोड़ों को अलग-अलग दिशाओं में मूवमेंट के लिए कहेंगे और साथ ही मरीज से उनके मेडिकल इतिहास, पारिवारिक इतिहास और जीवनशैली के बारे में पूछेंगे, जिसमें खेल गतिविधियाँ शामिल हैं। कुछ इमेजिंग परीक्षण हो सकते हैं, जैसे कि एक्स-रे (X-Ray), सीटी स्कैन (CT Scan), एमआरआई (MRI) स्कैन या अल्ट्रासाउंड (Ultrasound)। यह दिखा सकता है कि क्या कोई गलन है, या टिशू की मृत्यु। एक हड्डी स्कैन के लिए भी बोला जा सकता है। शुरुआती चरणों में, परीक्षण दिखाएगा कि कड़ी लचीली हड्डी मोटी हो रही है। बाद के चरणों में वह ढीले टुकड़े हो जाएंगे। शुरुआती चरणों को स्थिर माना जाता है, और इस चरण पर उपचार प्रभावी होने की अधिक संभावना होती है। इसमें गठिया, ऑस्टियोआर्थराइटिस (Osteoarthritis), हड्डी के अल्सर (Ulcer) और सेप्टिक गठिया शामिल हैं।
और पढ़ें : Osteomyelitis : ऑस्टियोमाइलाइटिस क्या है?
उपचार
ऑस्टियोकॉन्ड्राइटिस डिस्केन्स के उपचार? (Treatment for Osteochondritis dissecans)
- घरेलु उपचार में ज्यादातर आराम करने के लिए कहा जाता है क्योंकि यह हड्डी (Bone) को ठीक करने और भविष्य के फ्रैक्चर को रोकने के लिए समय मिलता है।
- आराम और बैसाखी का उपयोग (ऑस्टियोकॉन्ड्राइटिस डिस्केन्स से रिकवरी के लिए बैसाखी की आवश्यकता हो सकती है मदद कर सकता है।
- यदि रोगी खिलाड़ी (Players) है, तो उन्हें कुछ समय के लिए आराम (Rest) करने के लिए कहा जाता है।
- चिकित्सक एक चिकित्सा उपकरण के साथ जोड़ को स्थिर कर सकता है, जैसे कि स्प्लिंट (Splint) या ब्रेस (Brase)। लेकिन बैसाखी की जरूरत हो सकती है।
- एक गैर-स्टेरायडल दवा (NSAID) मदद कर सकती है। लेकिन इसमें दर्द (Pain) होगा। फिज़िकल थेरेपिस्ट स्ट्रेचिंग और अभ्यास के लिए भी कह सकते हैं।
- बच्चे आमतौर पर 2 से 4 महीने के बाद खेल में लौट सकते हैं। छोटे बच्चों में, ऑस्टियोकॉन्ड्राइटिस डिस्केन्स सामान्य रूप से आराम से ठीक हो जाता है, क्योंकि हड्डियां अभी भी बढ़ रही होती हैं। बच्चे आमतौर पर 2 से 4 महीने के बाद खेल में लौट सकते हैं। छोटे बच्चों में, ओसीडी सामान्य रूप से आराम से ठीक हो जाता है, क्योंकि हड्डियां (Bone) अभी भी बढ़ रही हैं।
और पढ़ें : डब्ल्यू-सिटिंग : कुछ ऐसे छुड़ाएं बच्चे की इस पोजीशन में बैठने की आदत को!
सर्जिकल उपाय
आपका डॉक्टर सर्जरी के लिए कह सकता है यदि:
जब नॉनसर्जिकल ट्रीटमेंट दर्द और सूजन (Swelling) को दूर करने में असफल रहता है और साथ ही घाव बहुत बड़ा होता है (डाईमिटर में 1 सेंटीमीटर से अधिक), विशेष रूप से पुराने किशोरों में तब आपका डॉक्टर घाव को अलग करता है या उसके आसपास की हड्डी से अलग करता है।
सर्जिकल में खासतौर पर अकेले व्यक्ति के लिए ऑस्टियोकॉन्ड्राइटिस डिस्केन्स के इलाज के लिए अलग-अलग तकनीकें हैं:
- नई रक्त वाहिकाओं के लिए मार्ग बनाने से लेकर प्रभावित क्षेत्र को पोषण देने के लिए घाव में ड्रिलिंग किया जाता है। यह आसपास की हड्डी (Bone) को जल्द ठीक करने में मदद करता है।
- हड्डी अपनी जगह बनी रहे उसके लिए पिन और स्क्रुव के जरिए उसे जोड़ा जाता है, ताकी वह अपनी जगह बनी रहे।
- क्षतिग्रस्त क्षेत्र को हड्डी और कड़ी लचीली हड्डी के नए टुकड़े (जिसे ग्राफ्ट कहा जाता है) से बदला जाता। यह ओसीडी से क्षतिग्रस्त क्षेत्र में स्वस्थ हड्डी (Healthy bone) और कड़ी लचीली हड्डी को पुन: उत्पन्न करने में मदद करता है।
सामान्य तौर पर, सर्जिकल उपचार के बाद लगभग 6 सप्ताह तक बैसाखी की आवश्यकता होती है, इसके बाद प्रभावित जोड़ में ताकत और गति प्राप्त करने के लिए फिजिकल थेरेपी द्वारा 2- से 4 महीने का कोर्स किया जाता है।
एक खिलाड़ी के लिए लगभग 4 से 5 महीने के बाद खेल में धीरे-धीरे वापसी संभव हो सकती है।
हैलो स्वास्थ्य किसी भी तरह की कोई भी मेडिकल सलाह नहीं दे रहा है, अधिक जानकारी के लिए आप डॉक्टर से संपर्क कर सकते हैं।
[embed-health-tool-vaccination-tool]

















