दांतों की चमक और खुबसूरत मुस्कान किसे पसंद नहीं है, लेकिन जब दातों पर प्लाक और टार्टर की परत चढ़ जाए तो क्या किया जाए? आज हम अपने लेख के माध्यम से दांतों से टार्टर की सफाई (Tips to clean Tooth tartar) के कुछ घरेलू उपायों के बारे में बताएंगे। आप अपने दांतों से टार्टर की सफाई के लिए इन घरेलू उपचारों का उपयोग कर सकते हैं। यहां बताए जा रहे हैं प्राकृतिक स्क्रब और क्लींजिंग घोल से दांतों और मुंह को स्वस्थ रखें। यदि आप नियमित रूप से डेंटल चेकअप कराते रहते हैं, तो दांतों पर मैल जमने की संभावना बहुत कम होती है।
“आप तो टार्टर की परत को आसानी से हटा नहीं सकते। द डॉक्टर्स बुक आफ होम रेमिडीज किताब में रॉबर्ट स्कालहॉर्न कहते हैं, “यह जहाज पर एक बाड़े की तरह हो जाता है,” टार्टर हटाने के लिए एक पेशेवर डेंटिस्ट की जरूरत है। रार्बट अमेरिकन एकेडमी ऑफ पेरियोडॉन्टोलॉजी के भूतपूर्व अध्यक्ष रह चुके हैं।”
और पढ़ेंः क्या आप दांतों की समस्या को लेकर डेंटिस्ट को दिखाने से डरते हैं, जानें डेंटल एंग्जायटी के बारे में
दांतों के प्लाक और टार्टर (Tooth tartar ) को कैसे पहचानें?
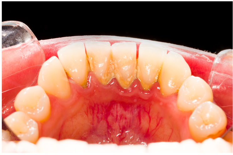
आमतौर पर ‘प्लाक और ‘टार्टर’ वास्तव में बैक्टीरिया हैं जो क्षय और गुहाओं का कारण बनते हैं। आपके दांतों पर टार्टर दाग, लार, भोजन, गंदगी और जमी हुई गंदगी का संचय है।
टार्टर को आप दांतों के बाहर, पीले या सफेद पैच के रूप में देख सकते हैं। आमतौर पर इसे एक दंत चिकित्सक द्वारा हटा दिया जाता है, लेकिन इसे अनदेखा किया तो ये दांतों की समस्या और सांसों में बदबू का कारण बन सकता है। टार्टर कई बार दांतों और उसके आसपास के हिस्सों को पीले रंग में बदल देता है, जिसे आसानी से देखा जाता है। अच्छी खबर यह है कि दंत चिकित्सक इस समस्या को आसानी से ठीक कर सकते हैं।
दांतों से टार्टर (Tooth tartar ) की सफाई क्यों है जरूरी?
यदि दांतों से टार्टर की सफाई समय रहते न की जाए तो यह दांत और मसूड़ों पर जमता रहता है और बाद में सख्त हो जाता है। फिर यह हानिकारक बैक्टीरिया के लिए प्रजनन क्षेत्र बन जाता है। टार्टर दांतों और मसूड़ों को नुकसान पहुंचाता है, जिससे मसूड़े की सूजन, इनेमल डैमेज व मसूड़ों की बीमारियां जैसी गंभीर बीमारियां हो सकती हैं। गंभीर मामलों में टार्टर बोन हेल्थ को भी प्रभावित कर सकता है। यहां तक कि कई मामलों में हृदय रोग का कारण भी बन सकता है।
और पढ़ेंः जीभ का कैंसर क्या है? कब बढ़ जाता है ये कैंसर होने का खतरा?
ब्रश
ब्रश करना दांतों से टार्टर की सफाई के लिए पहले नंबर पर आने वाला उपचार है। यदि आप हर भोजन के बाद ठीक से ब्रश करते हैं तो टार्टर पैच के विकास की संभावना को काफी कम कर सकते हैं। आपको तीन मिनट के लिए ब्रश करने की आवश्यकता है। दिन में दो बार ब्रश जरूर करें। इसके साथ ही फ्लॉसिंग भी करें जिससे दांतों के बीच जमी मैल को भी साफ किया जा सके।
[mc4wp_form id=”183492″]
फ्लोराइड युक्त टूथपेस्ट से होगी दांतों से टार्टर की सफाई
सभी टूथपेस्ट में लगभग हमेशा फ्लोराइड होता है। यह पदार्थ इनामेल को मजबूत करता है और अम्लीय खाद्य पदार्थों और पेय से दांत क्षय के जोखिम को कम करता है। फ्लोराइड क्षय हुए दांतों को ठीक करने और उनकी अवस्था में सुधार करने में मदद करता है। दांतों पर मैल जम न पाएं इसके लिए एक अच्छा ओरल हाइजीन मेंटेन करें।
और पढ़ेंः जीभ साफ करने के आसान व घरेलू उपाय, सांसों को रखेंगे एकदम फ्रेश
टार्टर कंट्रोल टूथपेस्ट खरीदें
आप टार्टर पैच रोकने के लिए टार्टर कंट्रोल टूथपेस्ट चुनें। वे मुंह में crusty बिल्ड अप के खिलाफ लड़ाई के लिए तैयार होते हैं। कुछ मामलों में, उनमें ट्राईक्लोसन भी होता है। यह एक एंटीबायोटिक पदार्थ है जो कई बैक्टीरिया को मार सकता है।
दांतों से टार्टर की सफाई के लिए इलेक्ट्रिक ब्रश
अध्ययनों से पता चला है इलेक्ट्रिक ब्रश दांतों पर से टार्टर को हटाने में अधिक कुशल हैं।
और पढ़ेंः दांत दर्द में तुरंत आराम पहुंचाएंगे ये 10 घरेलू उपचार
दांतों से टार्टर (Tooth tartar ) की सफाई के घरेलू नुस्खे
दांतों में जमा मैल को निकालने के लिए नीचे बताए गए ये कुछ उपाय किए जा सकते हैं-
1.बेकिंग सोडा से सफाई
कई सालों से, लोग बेकिंग सोडा का उपयोग दांतों से टार्टर की सफाई के रूप में करते रहे हैं। यह थोड़ा अपघर्षक है, इसलिए यह इनेमल की सतह से गंदगी को गायब कर देता है। आपको बस इतना करना है कि बेकिंग सोडा का केवल एक चम्मच लें। नमक की एक चुटकी मिलाएं। फिर, एक टूथब्रश को गीला करें और इसे मिश्रण में डुबो दें। अपने दांत साफ करें जैसा कि आप आमतौर पर करते हैं और अच्छी तरह कुल्ला कर लें। आप देखिएगा कुछ ही दिनों में दांतों से टार्टर की सफाई हो जाएगी।
2.एलोवेरा और ग्लिसरीन
एलोवेरा जेल के फायदों की तारीफ दशकों से की जाती रही है, लेकिन क्या आप जानते हैं कि इसका इस्तेमाल दांतों को साफ रखने के लिए भी किया जा सकता है। एक कप पानी लें, इसे आधा कप बेकिंग सोडा और एक चम्मच एलोवेरा जेल के साथ मिलाएं। फिर, नींबू आवश्यक तेल और ग्लिसरीन मिलाएं। अब, अपने दांतों पर स्क्रब करें उन्हें टार्टर फ्री और चमकदार बनाएं।
3.ऑरेंज के छिलके दांत पर रगड़ें
आप अपने दांतों पर सीधे नारंगी के छिलके को रगड़ सकते हैं । इससे इनेमल पर सूक्ष्मजीवों के निर्माण को रोकने में मदद मिलेगी। आप छिलके को मैश कर सकते हैं और टार्टर पैच पर घिस दें। थोड़ी देर बाद कुल्ला कर लें।
4.फलों और सब्जियों का सेवन करना
यह एक ऑल-राउंड टिप है। अपने दांतों को मजबूत और स्वस्थ रखने के लिए सेब, अजवाइन की छड़ें, गाजर, और मिर्च को खाना शुरू करें।
5.तिल के बीज चबाना
तिल के बीज को दंत स्क्रब के रूप में इस्तेमाल किया जा सकता है। यह दांतों को नुकसान पहुंचाए बिना दांतों से टार्टर की सफाई कर देगा। एक मुट्ठी तिल अपने मुंह में रखें। उन्हें चबाएं, लेकिन निगलें नहीं। एक पुराना टूथब्रश लें और अपने दांतों को ब्रश करें जबकि बीज अभी भी आपके मुंह में हैं। वे एक स्क्रब के रूप में कार्य करेंगे और दाग वाले दांतों की सफाई कर देंगें।
6.अंजीर का सेवन
अंजीर दांतों से बैक्टीरिया हटाने का कारगर नुस्खा है। आपको तीन या चार अंजीर खाने होंगे। उन्हें धीरे-धीर चबाएं, ताकि मसूड़ों और दांतों को अधिक फायदा मिल सके। अंजीर चबाने वाली लार ग्रंथियों को किकस्टार्ट करेगी और लार में जीवाणुरोधी गुण होते हैं जो की टार्टर को हटा देंगी।
टार्टर काफी भद्दे दिखते हैं और आपकी प्यारी मुस्कान को बिगाड़ सकते हैं, इसलिए दांतों से टार्टर की सफाई बहुत ही जरूरी है। यदि आप चाहते हैं कि आपके दांत स्वस्थ रहें तो दांतों की ठीक से सफाई करने की ज़रूरत है, बहुत अधिक चीनी खाने से बचें, और अपने स्थानीय दंत रोग विशेषज्ञ के संर्पक में रहे।
उम्मीद है कि आपको यह लेख पसंद आया होगा। अधिक जानकारी के लिए अपने डॉक्टर से संपर्क करें। हैलो हेल्थ ग्रुप किसी प्रकार की चिकित्सा सलाह, उपचार और निदान प्रदान नहीं करता।
[embed-health-tool-bmi]

















