फ्रैक्चर जिसे सामान्य भाषा में हड्डी का टूटना कहते हैं। हड्डियों का टूटना किसी भी उम्र में होने वाली समस्या है। हालांकि कई बार बढ़ती उम्र या किसी मेडिकल कंडिशन जैसे कैल्शियम की कमी की वजह से भी हड्डियां टूट जाती हैं, लेकिन हड्डियों का टूटना (Bone fracture) यानी फ्रैक्चर भी कई अलग-अलग तरह से होते हैं। आज इस आर्टिकल में स्पायरल फ्रैक्चर (Spiral Fracture) से जुड़ी पूरी जानकारी आपसे शेयर करेंगे।
- क्या है स्पायरल फ्रैक्चर?
- स्पायरल फ्रैक्चर के लक्षण क्या हैं?
- स्पायरल फ्रैक्चर के कारण क्या हैं?
- स्पायरल फ्रैक्चर का डायग्नोसिस कैसे किया जाता है?
- स्पायरल फ्रैक्चर का इलाज कैसे किया जाता है?
- फ्रैक्चर से जुड़ी महत्वपूर्ण जानकारी
चलिए अब एक-एक फ्रैक्चर से जुड़े इन ऊपर बताये गए सवालों का जवाब जानने की कोशिश करते हैं और समझते हैं कि कैसे स्पायरल फ्रैक्चर की तकलीफ को कैसे जल्द से जल्द दूर की जाए।
क्या है स्पायरल फ्रैक्चर? (Spiral Fracture)

स्पायरल फ्रैक्चर को टॉर्सन फ्रैक्चर (Torsion fracture) के नाम से भी जाना जाता है। स्पायरल फ्रैक्चर को अगर सामान्य शब्दों में समझें, तो इस फ्रैक्चर के दौरान जिस एरिया की हड्डी टूटती है वो पूरी तरह से टूट जाती है। इस फ्रैक्चर को कंप्लीट फ्रैक्चर (Complete fracture) का एक प्रकार माना जाता है। ऐसा तब होता है, जब व्यक्ति अत्यधिक तेजी से मूवमेंट कर रहा हो और हड्डी टूटने के बाद भी बॉडी का हिस्सा मोशन में हो। इसलिए भी इसे कंप्लीट फ्रैक्चर की श्रेणी में रखा जाता है और इसके कई अन्य कैटेगरी भी होते हैं। जैसे:
- ट्रांस्वर्स (Transverse)
- ऑब्लिक (Oblique)
- लोंगीटूडिनल (Longitudinal)
- कम्यूनिटेडेड (Comminuted)
- स्पायरल (Spiral)
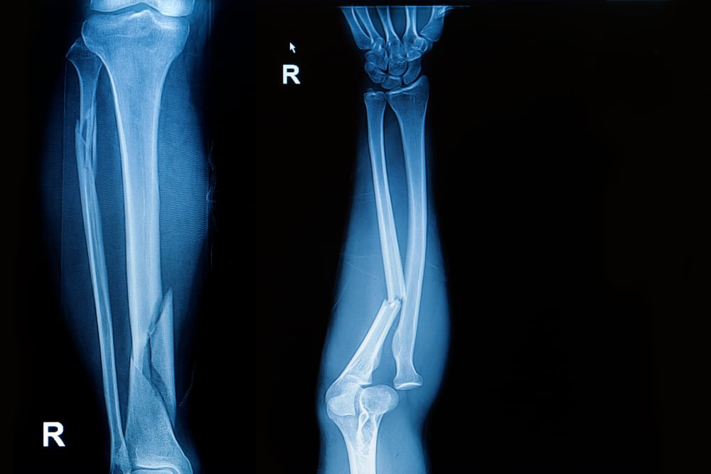
हालांकि स्पायरल फ्रैक्चर का परिणाम हमेशा हड्डी के दो अलग-अलग टुकड़े ही होते हैं। स्पायरल फ्रैक्चर के दौरान हड्डी टूटी हुई हड्डी कॉर्कस्क्रू या घुमावदार जैसी दिखती है, क्योंकि टूटी हुई हड्डी तिरछे रूप से होता है। इसे नीचे👇🏻 दिए इस चित्र से आसानी से समझा जा सकता है।

इस इमेज में बोन फ्रैक्चर के अलग-अलग प्रकार को दिखाया गया है। वहीं स्पायरल फ्रैक्चर (Spiral Fracture) के इमेज पर अगर गौर करें, तो इस फ्रैक्चर के दौरान हड्डी दो अलग-अलग हिस्सों में नजर में आ रही है। हालांकि स्पायरल फ्रैक्चर होने पर इसके अलग-अलग लक्षण भी महसूस किये जा सकते हैं।
और पढ़ें : बिना इस सिस्टम के हिल भी नहीं सकते हैं आप, बॉडी को सपोर्ट करता है मसक्यूलोस्केलेटल सिस्टम
स्पायरल फ्रैक्चर के लक्षण क्या हैं? (Symptoms of Spiral Fracture)
नैशनल सेंटर फॉर बायोटेक्नोलॉजी इंफॉर्मेशन (NCBI) में पब्लिश्ड रिपोर्ट्स के अनुसार स्पायरल फ्रैक्चर (Spiral Fracture) सबसे तकलीफदेह फ्रैक्चर्स में से एक माना जाता है। स्पायरल फ्रैक्चर होने की स्थिति में फैक्चर वाले एरिया में तेज दर्द (Pain) महसूस होता है। हालांकि अगर इंजरी (Injury) गंभीर है, तो तकलीफ भी ज्यादा होगी। इसी के साथ इसके निम्नलिखित लक्षण हो सकते हैं। जैस:
- हड्डी में जकड़न महसूस (Bone stiffness) होना।
- फ्रैक्चर वाले पार्ट से मूवमेंट ना कर पाना।
- फ्रैक्चर वाले एरिया पर सूजन (Swelling) और लाली (Redness) आना।
- फ्रैक्चर वाला एरिया अत्यधिक सॉफ्ट (Tenderness) होना।
बोन में स्पायरल फ्रैक्चर (Spiral Fracture) होने पर ऊपर बताये लक्षण हो सकते हैं, लेकिन अगर इसके साथ-साथ स्किन फ्रैक्चर भी हो जाए, तो ब्लीडिंग की समस्या भी हो सकती है।
स्पायरल फ्रैक्चर के कारण क्या हैं? (Cause of Spiral Fracture)
स्पायरल फ्रैक्चर या टॉर्सन फ्रैक्चर (Torsion fracture) तब होता है, जब आपकी बॉडी तेज गति में हो और शरीर का कोई एक हिस्से जैसे पैर अगर में अचानक से चोट लग जाए। इस दौरान बॉडी के अत्यधिक मोशन में होने की वजह से शरीर का हिस्सा आगे बढ़ जाता है, जिसका नतीजा टूटी हुई हड्डी पर ज्यादा दवाब पड़ जाता है। स्पायरल फ्रैक्चर विशेष रूप से स्पोर्ट्स इंजरी (Sports injuries) या गिरने की वजह से होने वाली फ्रैक्चर है। स्पायरल फ्रैक्चर या टॉर्सन फ्रैक्चर सबसे ज्यादा शरीर की लंबी हड्डी को ही अपना शिकार बनाती है, जैसे टिबिया (Tibia) बोन।
अगर स्पायरल फ्रैक्चर छोटे बच्चों में हो जाये, तो इसे टोडलर्स फ्रैक्चर (Toddler’s fractures) कहा जाता है। इस दौरान हड्डी ट्विस्ट हो जाती है या हड्डी पर ज्यादा जोड़ पड़ जाता है। वहीं बच्चों में टोडलर्स फ्रैक्चर के अलावा ग्रीनस्टिक फ्रैक्चर (Greenstick fractures) की समस्या भी देखी जाती है, क्यों बच्चों की हड्डियां अत्यधिक सॉफ्ट होती हैं।
वयस्कों में स्पायरल फ्रैक्चर के निम्नलिखित कारण हो सकते हैं। जैसे:
- टिबिया (Tibia) या शिंबोन (Shinbone) का टूटना।
- फीबुला (Fibula) या कोई अन्य छोटी हड्डी का टूटना, जो टिबिया के पैरलर हो।
- टिबिया (Tibia) और फीबुला के पास मौजूद टेलस/टालिस (Talus) बोन का टूटना।
- फीमर (Femur) और थाइबोन (Thighbone) का टूटना।
- हुमेरस (Humerus) या अपर आर्म (Upper arm) के हड्डी का टूटना।
- उंगलियों की हड्डियों (Fingers bones) का टूटना।
ऊपर बताये कारण स्पायरल फ्रैक्चर के मुख्य कारण मानें जाते हैं।
और पढ़ें : लिगामेंट्स का लूज होना है लिगामेनेस लेक्सिटी का संकेत, क्या आप जानते हैं इसके बारे में?
स्पायरल फ्रैक्चर का डायग्नोसिस कैसे किया जाता है? (Diagnosis of Spiral Fracture)
स्पायरल फ्रैक्चर के डायग्नोसिस के दौरान सबसे पहले अपने डॉक्टर को बतायें की इंजरी आपको कैसे हुई है। ऐसा करने से डॉक्टर फ्रैक्चर के प्रकार को जल्द समझेंगे। इस दौरान डॉक्टर पेशेंट का फिजिकल एग्जामिनेशन करेंगे और इंजरी वाली जगह पर विशेष ध्यान देंगे। फिजिकल एग्जाम के दौरान डॉक्टर निम्नलिखित बातों पर विशेष ध्यान देंगे। जैसे:
- स्किन फ्रैक्चर या मांसपेशियों का फटना।
- चोट वाली जगह सख्त है सॉफ्ट है।
- फ्रैक्चर एरिया में कितना मूवमेंट है।
इन सभी बातों पर ध्यान केंद्रित करते हुए डॉक्टर निम्नलिखित टेस्ट करवाते हैं। जैसे:
- एक्स-रे (X-ray)- एक्स-रे की मदद से टूटी हुई हड्डी की इमेज आसानी से देखी जा सकती है और हड्डी अपनी एक्चुअल एरिया से कहां डिस्लोकेटेड हुई है इसकी जानकारी मिलती है।
- सीटी स्कैन (CT scan)- सीटी स्कैन की मदद से बॉडी में अगर किसी दूसरे हिस्से पर इंजरी हुई है, इसकी जानकारी मिलती है।
इन दो टेस्ट रिपोर्ट्स की स्थिति को देखते हुए पेशेंट का इलाज जल्द से जल्द शुरू किया जाता है।
और पढ़ें : बर्साइटिस और अर्थराइटिस : जोड़ों से संबंधित इन बीमारियों में जानिए अंतर
स्पायरल फ्रैक्चर का इलाज कैसे किया जाता है? (Treatment for Spiral Fracture)
स्पायरल फ्रैक्चर होने की स्थिति में हड्डी जिकजैक जैसे स्ट्रक्चर में आ जाती है, जिसका इलाज करना और जल्द ठीक होना दोनों ही कठिन होता है। इसलिए स्टबल स्पायरल फ्रैक्चर (Stable Spiral Fracture) और डिस्प्लेस्ड स्पायरल फ्रैक्चर (Displaced Spiral Fracture) का इलाज अलग तरह से किया जाता है, जो इस प्रकार हैं।
स्टबल स्पायरल फ्रैक्चर (Stable Spiral Fracture)
स्टबल स्पायरल फ्रैक्चर प्रायः बच्चों में देखा जाता है। इस प्रैक्चर के दौरान 4 से 6 हफ्ते तक प्लास्टर किया जाता है, जिसके बाद हड्डी धीरे-धीरे अपने पहले की अवस्था में आ जाती है।
और पढ़ें : स्केलेटल डिस्प्लेसिया… यह है बाल्यावस्था से होने वाली बीमारी!
डिस्प्लेस्ड स्पायरल फ्रैक्चर (Displaced Spiral Fracture)
डिस्प्लेस्ड स्पायरल फ्रैक्चर होने की स्थिति में सर्जरी की मदद ली जाती है। इस दौरान पेशेंट को जेनरल एनेस्थीसिया (General anesthesia) दिया जाता है और फ्रैक्चर वाले एरिया की सर्जरी शुरू की जाती है। इस दौरान डॉक्टर सबसे पहले हड्डी को अपने पुजिशन (पोजीशन) पर प्लेस करते हैं। इस सर्जरी की प्रक्रिया को रिडक्शन सर्जरी (Reduction surgery) कहा जाता है। रिडक्शन सर्जरी के बाद प्लास्टर (Cast) किया जाता है, जिसे कुछ हफ्ते के बाद हटाया जाता है।
रिडक्शन सर्जरी (Reduction surgery) के बाद दिए जाने वाले ड्रग्स इस प्रकार हैं-
- आइबूप्रोफेन (Ibuprofen)।
- नॉनस्टेरॉइड एंटी-इंफ्लामेटरी (Nonsteroidal Anti-inflammatory) ड्रग्स।
- एसिटामिनोफेन (Acetaminophen) के साथ कोडीन (Codeine) प्रिस्क्राइब की जाती है।
नोट: बोन फ्रैक्चर (Bone fracture) के दौरान अपनी मर्जी से किसी भी दवा का सेवन ना करें। इस दौरान डॉक्टर द्वारा प्रिस्क्राइब की गई दवाओं का ही सेवन करें। अगर पेशेंट पहले से किसी बीमारी जैसे डायबिटीज, हाय ब्लड प्रेशर या कोई अन्य बीमारी से पीड़ित हैं, तो इसकी जानकारी भी डॉक्टर को अवश्य दें। इसके साथ ही आप कौन-कौन सी दवाओं का सेवन करते हैं यह भी जरूर बताएं।
स्पायरल फ्रैक्चर (Spiral Fracture) के इलाज के दौरान बोन को आपस में जॉइन्ट करने के लिए किये गए प्लास्टर की वजह से मूवमेंट ना होने की वजह से बाद में मूवमेंट में परेशानी को दूर करने के लिए जब प्लास्टर हटाया जाता है, तो डॉक्टर फिजिकल थेरिपी (Physical therapy) फॉलो करने की सलाह देते हैं। इस दौरान फिजिकल थेरिपी एक्सपर्ट पेशेंट से अलग-अलग तरह की एक्सरसाइज (Exercise) भी करवाते हैं।
और पढ़ें : मैन्युअल थेरिपी (Manual therapy) क्या है? जानें दर्द दूर करने में कैसे करती है मदद
फ्रैक्चर से जुड़ी महत्वपूर्ण जानकारी (Tips for Fracture)-

- किसी भी फ्रैक्चर के इलाज में 3 से 6 महीने का समय ठीक होने में लग सकता है। इसलिए इस दौरान डॉक्टर की हर एक बातों को ध्यान से समझें और उन्हें फॉलो करें।
- कभी-कभी फ्रैक्चर ठीक होने में 6 महीने या 1 साल से ज्यादा का भी वक्त लग सकता है। इसलिए पैनिक नो हों और अपना ख्याल रखें।
- फ्रैक्चर वाली जगहों को तबतक ना हिलाएं जबतक प्लास्टर लगा हो।
- पैर फ्रैक्चर होने की स्थिति में आप पैर के नीचे तकिये को रख सकते हैं।
- अगर प्लास्टर की वजह से उंगलियां ठीक तरह से काम ना करें या सेंसेटिविटी महसूस ना हो या उस जगह पर काला पड़ जाये, तो इसकी जानकारी डॉक्टर को दें।
- प्लास्टर वाले हिस्से को स्थिर रखें, लेकिन अन्य हिस्सों को हिलाएं। हां, अगर इस दौरान प्लास्टर वाले हिस्से को नुकसान पहुंचे, तो ऐसा ना करें।
- फ्रैक्चर वाले हिस्से को पानी से दूर रखें।
- कभी-कभी प्लास्टर वाले हिस्से पर खुजली होती है, तो ऐसी स्थिति में किसी भी नुकीली वस्तु का इस्तेमाल ना करें या किसी भी वस्तु को अंदर ना डालें।
इन बातों का ध्यान रखें, जो फ्रैक्चर के दौरान और फ्रैक्चर ठीक होने के बाद भी आपके लिए लाभकारी हो सकते हैं।
अगर आप स्पायरल फ्रैक्चर (Spiral Fracture) से जुड़े किसी तरह के कोई सवाल का जवाब जानना चाहते हैं, तो विशेषज्ञों से समझना बेहतर होगा। ध्यान रखें किसी भी चोट या फ्रैक्चर का इलाज खुद से ना करें, क्योंकि डॉक्टर पेशेंट की हेल्थ कंडिशन को ध्यान में रखते हुए इलाज करते हैं।
मांसपेशियों (Muscles) और हड्डियों (Bone) को मजबूत बनाने के लिए आप क्या करते हैं? नीचे दिए इस क्विज को खेलिए और जानिए मत्वपूर्ण बातें।

















