दांतों की स्केलिंग (teeth scaling) आमतौर पर रूट प्लानिंग के साथ ही की जाती है। सरल शब्दों में इसे दांतों की सफाई के रूप में भी जाना जाता है। इसमें दांतों की समस्याओं जैसे- दांत की मैल (tartar), प्लाक (बैक्टीरिया से बनने वाली हल्के पीले रंग की परत) और दाग-धब्बे (stains) का इलाज किया जाता है। टीथ स्केलिंग और रूट प्लानिंग से पुरानी पीरियोडॉन्टल बीमारी (मसूड़ों की बीमारी) के इलाज में मदद मिलती है। तो आइए जानते हैं इस आर्टिकल में कि टीथ स्केलिंग के बारे में। यह कैसे होती है? इसके क्या फायदे हैं?
टीथ स्केलिंग (Teeth Scaling) क्यों जरूरी है?
यह प्रक्रिया आपके मुंह को हेल्दी रखती है। अगर आपके मुंह में गंभीर पीरियोडॉन्टल बीमारी के लक्षण हैं, तो डेंटिस्ट दांतों की स्केलिंग और रूट प्लानिंग की सलाह देते हैं। यूं तो हम अपने दांत ब्रश से साफ करते हैं पर टूथब्रश से दांत के हर कोने की सफाई नहीं हो पाती है। स्केलिंग की मदद से दांतों के चारों तरफ जमी हुई सख्त गंदगी को हटाया जाता है और यदि यह गंदगी समय के साथ साफ न की जाए, तो दांतों की अन्य बीमारियां होने की आशंका बढ़ जाती है।
और पढ़ें : जब सताए दांतों में सेंसिटिविटी की समस्या, तो ऐसे पाएं निजात
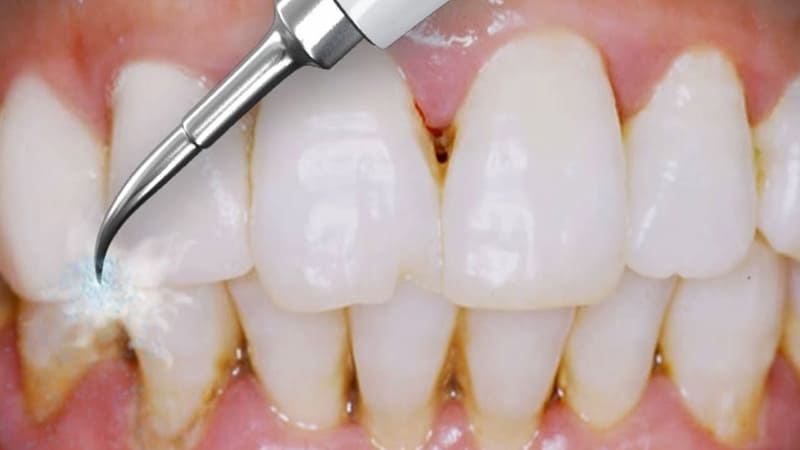
टीथ स्केलिंग (Teeth Scaling) कैसे की जाती है ?
दांतों में जमी जिद्दी गंदगी को बाहर निकालने का ‘स्केलिंग’ एक टेक्निकल और साइंटिफिक जरिया है। दांतों की स्केलिंग के लिए दो विधियां अपनाई जाती हैं। एक विधि में डॉक्टर हाथ से उपकरण के द्वारा प्लाक को साफ करता है, दूसरी विधि में डेंटिस्ट एक अल्ट्रासोनिक उपकरण (ultrasonic) के द्वारा दांतों की सफाई करता है। यह एकदम दर्दरहित प्रक्रिया है।
और पढ़ें : ओरल हाइजीन : सिर्फ दिल और दिमाग की नहीं, दांतों की भी सोचें हुजूर
टीथ स्केलिंग (Teeth Scaling) के फायदे
टीथ स्केलिंग से डेंटिस्ट आपके मुंह की अच्छे से जांच कर पाता है क्योंकि ज्यादातर शारीरिक बीमारियों के लक्षण मुंह में दिखाई देते हैं, इसीलिए उन बीमारियों को समय से पहले पता लगाने का मौका भी मिलता है। टीथ स्केलिंग से दांतों और मसूड़ों के बीच गैप भी कम किया जा सकता है। मसूड़े में सूजन और मसूड़ों की बीमारी इंसान के दिल तथा रक्त वाहिकाओं संबंधी (cardiovascular) हेल्थ पर सीधा प्रभाव डालती है। टीथ स्केलिंग की सहायता से दांतों के मैल को हटाकर स्ट्रोक (stroke), हाई बीपी High blood pressure), हार्ट डिजीज, डायबिटीज और कई अन्य स्वास्थ्य संबंधी बीमारियों के जोखिमों को काफी हद तक कम किया जा सकता है।
और पढ़ें : Febrex Plus : फेब्रेक्स प्लस क्या है? जानिए इसके उपयोग, साइड इफेक्ट्स और सावधानियां
[mc4wp_form id=’183492″]
मुंह की दुर्गंध से निजात दिलाएंगी टीथ स्केलिंग
हां, अगर कोई व्यक्ति काफी समय से सांस की बदबू (जिसे हैलिटोसिस के नाम से जानते है) या मुंह की दुर्गंध से पीड़ित हैं, तो इससे निजात पाने के लिए भी डेंटल स्केलिंग (dental scaling) प्रभावी है। इस हिसाब से ओरल हाइजीन को मेंटेन करके कई तरह की गंभीर स्वास्थ्य समस्याओं (health problems) के होने की संभावना कम की जा सकती है।
टीथ स्केलिंग (Teeth Scaling) के बाद सावधानियां
टीथ स्केलिंग, रूट प्लानिंग (root planning) के बाद हो सकता है। आप हल्का-सा दर्द मुंह के आसपास महसूस कर सकते हैं। कुछ लोगों में प्रक्रिया के कुछ दिनों बाद तक सूजन या ब्लीडिंग भी देखने को मिलती है, जिसको कम करने के लिए डेंटिस्ट मेडिकेटेड टूथपेस्ट (medicated toothpaste) और माउथवॉश (mouthwash) का उपयोग करने की सलाह देते हैं। यह महत्वपूर्ण है कि डेंटल स्केलिंग (dental scaling) के बाद दांतों की सफाई के लिए आप डॉक्टर द्वारा बताई गई प्रक्रियाओं का उपयोग करें।
और पढ़ें : जानिए क्या है ऑयल पुलिंग थेरिपी (Oil Pulling Therapy) और इसके फायदे
दांतों की साफ-सफाई के लिए टिप्स (oral care tips)
दांतों को बिमारियों से दूर रखने के लिए ओरल केयर (oral care) करना बहुत जरूरी है। इससे सिर्फ दांतों की नहीं बल्कि पूरे स्वास्थ को सही रखा जा सकता है। ओरल हाइजीन को मेंटेन करके दिल की कई तरह की बिमारियों से निपटा जा सकता है। दांतों के स्वास्थ्य के लिए नीचे बताई गई ये टिप्स फॉलो करें-
- दांतों की देखभाल के लिए दांतों की सफाई पर समुचित ध्यान दें।
- दांतों की देखभाल के लिए बैक्टीरिया की सफाई नियमित रूप से करें।
- ओरल केयर के लिए दिन में दो बार ब्रश करने की आदत डालें।
- दांतों की देखभाल के लिए ब्रश करने के बाद पानी से मुंह का कुल्ला करें। उसके बाद मसूढ़ों की मालिश करें, इससे रक्त संचार तेज होगा और मसूढ़े मजबूत होंगे।
- दांतों में कुछ फंस जाने पर उसे पिन, सुई, तीली आदि से न कुरेदें। ऐसा करने से मसूढ़ों में घाव हो सकता है।
- कुछ लोग गुस्से में दांत पीसते हैं। जो दांतों के स्वास्थ्य के लिए ठीक नहीं होता है।
- दूसरों के इस्तेमाल किए जाने वाले टूथब्रश का प्रयोग न करें। इससे दांतों में इंफेक्शन (teeth infection) हो सकता है।
- मीठे खाद्य पदार्थ जैसे आइस क्रीम, केक, चॉकलेट, कोल्ड ड्रिंक्स, चिप्स, जंक फूड आदि का सेवन कम से कम मात्रा में करें।
- धूम्रपान, शराब, पान, तंबाकू आदि का उपयोग दांतों की सेहत को सबसे ज्यादा खराब करते हैं। इसलिए, इनके सेवन से बचें।
- दांतों की साफ-सफाई के लिए ‘ऑयल पुलिंग (oil pulling)’ थेरेपी का भी उपयोग किया जा सकता है। इसके लिए आप कोई भी खाद्य तेल जैसे -सरसों, तिल का तेल या नारियल तेल का इस्तेमाल किया जा सकता है। इससे दांत और मसूढ़े दोनों ही हेल्दी होते होते हैं। इससे पायरिया भी नहीं होता है।
- वैसे तो दांतों के स्वास्थ्य के लिए ठंडे पेय पदार्थ, सोडा, कोल्ड ड्रिंक्स नहीं पीना चाहिए। लेकिन, अगर आपको इसका सेवन कभी कभी करना भी हो तो स्ट्रॉ का प्रयोग करें।
- गरम पेय पदार्थ के तुरंत बाद ठंडा पानी न पीएं।
- साथ में बेहतर दांतों के स्वास्थ्य के लिए साल में दो बार डेंटिस्ट को जरूर दिखाएं ताकि किसी भी प्रकार के दांतों की बीमारी या संक्रमण का समय पर पता लग सके।
- दांतों की साफ-सफाई के साथ-साथ जीभ की सफाई पर भी ध्यान दें।
- ओरल केयर के लिए आहार में गाजर, अमरुद, मूली, सेब, ककड़ी, खीरा आदि का सेवन जरूर करें।
मुंह की सेहत शारीरिक स्वास्थ्य के लिए जरूरी है इसलिए लगभग सभी डेंटिस्ट दांतों की स्केलिंग की सलाह देते हैं। जरूरत के अनुसार कराई गई डेंटल स्केलिंग (dental scaling) आपके मुंह और दांतों को हेल्दी बनाएं रखने में मदद कर सकती है। इसके साथ ही ऊपर बताए गए दांतों की देखभाल के टिप्स जरूर फॉलो करें। उम्मीद करते हैं कि आपको यह लेख पसंद आया होगा। आपको यह आर्टिकल कैसा लगा हमें कमेंट बॉक्स में जरूर बताएं। साथ ही अगर आपका इस विषय से संबंधित कोई भी सवाल या सुझाव है तो वो भी हमारे साथ शेयर करें।
[embed-health-tool-bmi]

















